Стоматология Дента Люкс, Чита
Информация о стоматологии Дента Люкс актуализирована в октябре 2025 года:
Дента Люкс
- Консультация стоматолога-имплантолога 1₽
- Удаление зуба простое 2400₽
- Ультразвуковая чистка зубов 3900₽
- Консультация стоматолога-терапевта 1₽
- Все цены (4)
- Хорошие результаты (отмечены фото до и после).; Быстрая запись и удобное время приёма.; Приятная атмосфера, отсутствие страха перед лечением.; Безболезненное и комфортное лечение.; Современное оборудование.
- Все плюсы и минусы из отзывов
- микрорайон Октябрьский, 14
-
Открыто до 21:00до закрытия 10 ч 47 мин
Дента Люкс работает ежедневно с 09:00 до 21:00, обеспечивая пациентам удобное время для посещения. Связаться с клиникой можно по телефонам: +7 (924) 020-00-19 и +7 (3022) 20-20-20. Подробная информация доступна на официальном сайте: https://denta75.ru/.
Клиника специализируется на различных направлениях стоматологии, включая: — Хирургическую стоматологию (удаление зубов, имплантация). — Эстетическую стоматологию (отбеливание, виниры, люминиры, коронки). — Терапию и эндодонтию (лечение кариеса, пломбирование, лечение каналов). — Ортопедию и протезирование (восстановление зубов). — Гигиену полости рта и профилактику заболеваний.
Дополнительные услуги: — Рентгенография. — Реставрация зубов. — Лечение дёсен. — Бесплатная консультация. — Лечение зубов в рассрочку. — Подарочные сертификаты.
В клинике работают квалифицированные специалисты: стоматологи-терапевты, хирурги, имплантологи, ортопеды. Используются современные технологии и материалы, гарантирующие безболезненное и эффективное лечение.
Способы оплаты: наличные, банковские карты, безналичный расчет, рассрочка. Для пациентов доступен Wi-Fi.
Дента Люкс — это забота о здоровье и красоте улыбки с гарантией качества.
Контактная информация как добраться?
- Полный адрес: Забайкальский край, Чита, микрорайон Октябрьский, 14
- Район: Центральный район
- Микрорайон: микрорайон Октябрьский
- Все телефоны компании: +7 (924) 020-00-19 | +7 (3022) 20-20-20
- Сайт: https://denta75.ru/
- Социальные сети:
Режим работы сегодня
Дополнительные услуги
- Услуги
- хирургия
- эстетическая стоматология
- эндодонтия
- имплантология
- рентгенография
- протезирование
- терапия
- пломбирование
- удаление зубов
- отбеливание
- лечение кариеса
- виниры и люминиры
- гигиена полости рта
- коронки
- лечение дёсен
- лечение каналов
- реставрация зубов
- Способ оплаты
- предоплата
Услуги и цены – 4 предложений
Скачать прайс-лист Дента Люкс на октябрь 2025 годаАдрес стоматологии на карте
Узнайте, как доехать до стоматологии Дента Люкс на карте ЧитыДостоинства и недостатки из отзывов
- Приятная атмосфера, отсутствие страха перед лечением.
- Современное оборудование.
- Грамотные объяснения и рекомендации.
- Безболезненное и комфортное лечение.
- Высокое качество лечения, восстановления и протезирования.
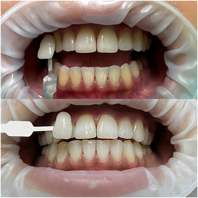
- Хорошие результаты (отмечены фото до и после).
- Быстрая запись и удобное время приёма.
- Подробные консультации и понятные планы лечения.
- Заботливое и культурное обращение персонала.
- Доброжелательное и вежливое отношение.
- Квалифицированные и опытные врачи (отмечены Штыкина Т. Н., Мелтонян О. А., Курбатова М. М., Седякина Е. В., Куценко О. А., Хоменок Н. А., Гайдина И. А., Лопатин С. Б., Дроздюк Д. И., Протасова К. А.).
- Внимательное обследование и привлечение нужных специалистов.
- Высокие цены (недоступны для среднего класса).
- Некоторые отмечают, что стоимость услуг завышена

Все понравилось, всегда там лечусь. Гигиенист Оля Пучкова внимательный и аккуратный доктор. Всем советую.
Квалифицированные специалисты, хорошее оборудование, но ценовая политика высоковата даже для среднего класса
Классная клиника, врачи стоматологи — Гайдина ИА и Лопатин СБ вы лучшие
Была на приеме у Седякиной Елены Валентиновны.Прием на высшем уровне!Все понравилось,начиная от консультации,качественного ,безболезненного лечения,заканчивая рекомендациями!Рекомендую всем!
Была на приеме у Мелтонян Олинги Арамовны . Подробно объяснила весь план лечения. Было безболезненно и быстро ! Отличный врач . Рекомендую !
Лучшей клиники не встречала! Персонал приветливый, оборудование самое современное.
Здесь работают действительно профессионалы. Седякина Елена Валентиновна — наш семейный доктор. Я раньше не подозревала, что в кресле у стоматолога может стать скучно, или это возможность вздремнуть, пока тебя лечат. А насчет цен — за все хорошее надо платить, как известно.
Свои зубы я доверяю только замечательному специалисту — Гайдиной Ирине Алексеевне! Ирина Алексеевна всегда в хорошем настроение,доступным языком объясняет причину боли и подробно рассказывает дальнейший план лечения. Всем рекомендую !
Хожу на протяжении долгих лет только в Дента Люкс. Стоматология на высшем уровне. В этом году пришлось идти на удаление зубов мудрости, и мне посоветовали специалиста Ли Александру Игоревну, так как было сложное удаление. Спасибо ей большое, все прошло быстро, безболезненно, я даже не поняла что мне удалили сразу два зуба. После удаления Александра Игоревна еще долгое время наблюдала за состоянием моих зубов, я неоднократно приходила на осмотр. И все быстро зажило. Спасибо еще раз доктору за ее чуткость, внимательность и профессионализм!
Спасибо за лечение Ксении все было качественно,безболезненно, и ещё особенно Егору Гемрановичу сделали протезы качественно. Спасибо Всему колективу. Рекомендую
Здравствуйте, делал чистку у Протасовой.К.А. все понравилось. Проконсульировала на отлично. Лечащий врач: Протасова Ксения
Все на высоте! Ну как и цена)) но такое ощущение что на это надо тратить
Ирина Александровна и подержит, когда страшно и пошутит, успокоит. Ну очень хороший и квалифицированный специалист. Хорошо, что именно к ней меня направили с моей проблемой.
Отличная стоматология . Хорошие врачи . Стоимость лечения приемлемая ! Особенно порадовали фото до лечения и после !!!
Была на приеме у Дроздюка Дмитрия Ивановича, всë понравилось, понятно объяснил как будет проходить лечение. Во время лечения очень переживала, что будет больно, но всё прошло безболезненно. Хороший врач, хочется отметить его внимательное отношение к своему пациенту!
Хочу сказать большое спасибо врачу стамотологу Семедякиной Елене Валентиновне профисионал своего дела Приезжаю в отпуск с СВО и сразу к ней на лечение пломбы стоят качественно и на века процесс лечения безболезненный. При входе в здания администратор вежливый Всем добра всех обнял кто читал мой отзыв. Слава России Победа будет за нами
Ходила на прием к Седякиной Елене Валентиновне, осталась довольна! Профессионал своего дела. Если и ходить к стоматологу, то только к этому специалисту!)
Нужна была чистка , записали на ближайшее время, приняли на высшем уровне ,оборудование свежее,врачи опытны,особенно хочу отметить Хоменок Нину Андреевну за прекрасное вежливое отношение и превосходное лечение,минусов у клиники по данному адресу нет))
Благодарю врача гигиениста Курбатову Марию Михайловну за её заботливые руки! Всегда делает мне чистку максимально аккуратно,безболезненно и очень внимательно В результате зубы гладкие и блестят И я улыбаюсь уверенно
Качественное безболезненное лечение, квалифицированные врачи, приятный сервис.
Уже давно наблюдаюсь в этой клинике, врачи всегда очень вежливые — всё расскажут и в процессе работы прокомментируют, дадут рекомендации. В этот раз делала реставрацию четырёх передних зубов: в восторге от результата! Врач Ольга Анатольевна Куценко сделала всё очень качественно, результаты до и после можете сами увидеть на фото. Проверенное и надёжное место, где поход к зубному не будет страшным событием
26 января 2025 года записался на 9:00 утра на удаление коренного зуба. Врач целый час мне его удалял пилил, рвал, вроде все норм удалил, нервно вздыхал,но пебедил мой зуб. После прописал антибиотики сказал что скоро пройдет. Сегодня 29 января 00:54 ночи лежу в кровати мучаюсь с зубной болью пью антибиотики и обезбаливающие,в том месте где удалили зуб с обоих сторон сторон возле вырваного зуба болят остальные здоровые зубы. Языком нащупываю порваную мягкую ткань по краям когда то находившегося на том месте зуба и проклинаю тот день когда я записался на удаление зуба. А помнится пару лет назад мне там же удаляли 8 номер женщина хирург сделала все быстро и качественно я даже ничего не заметил,антибиотики и лекарства после удаления никто не прописывал. Но походу там все изменилось и подорожало и врачи уже не те профессионалы что были раньше. Так что не особо советую туда обращаться за помощью.
Обратилась в эту клинику впервые восемь лет назад. Пролечила все больные зубы, провела протезирование недостающих. Приятно удивило заботливое, культурное обращение всего персонала. Внимательно обследовали, вызвали нужных специалистов, всё мне грамотно объяснили. Работа по лечению, восстановлению и протезированию была выполнена по высшему разряду. Особо хочу отметить работу моего доктора Штыкиной Т. Н. специалиста высокой категории. Она настоящий доктор — очень внимательна , хорошо знает своё дело. Благодарю за её золотые добрые, заботливые руки, за её участие к пациенту и к его проблемам.
Приходил на удаление зуба. Александра Игоревна сделала все на отлично. Так же она мне дала рекомендации
Лучшая клиника в которой я была Очень профессиональные навыки у докторов Прием проводится в несколько рук Администраторы, улыбчивые вежливые В клинике тепло,уютно,светло Что ещё нужно ) Однозначно рекомендую клинику