Стоматология Позитив-Дент, Екатеринбург
Информация о стоматологии Позитив-Дент актуализирована в ноябре 2025 года:
Позитив-Дент
- Коронка из диоксида циркония / металлокерамическая на имплантат + винир E-maх 54000₽
- Удаление восьмых зубов 8000₽
- Консультация терапевта, хирурга 3000₽
- Коронка из диоксида циркония / металлокерамическая с опорой на имплантат 45000₽
- Обработка аппаратом Vector (Германия) в области 1 зуба 850₽
- Все цены (46)
- Возможность смотреть фильмы во время лечения.; Современное оборудование (включая панорамный снимок и КТ).; Круглосуточный приём.; Детские стоматологи высокого уровня.; Адекватные цены и скидки.
- Все плюсы и минусы из отзывов
-
улица Софьи Ковалевской, 3м. Площадь 1905 года 3,9 км
-
Открыто до 21:00до закрытия 5 ч 46 мин
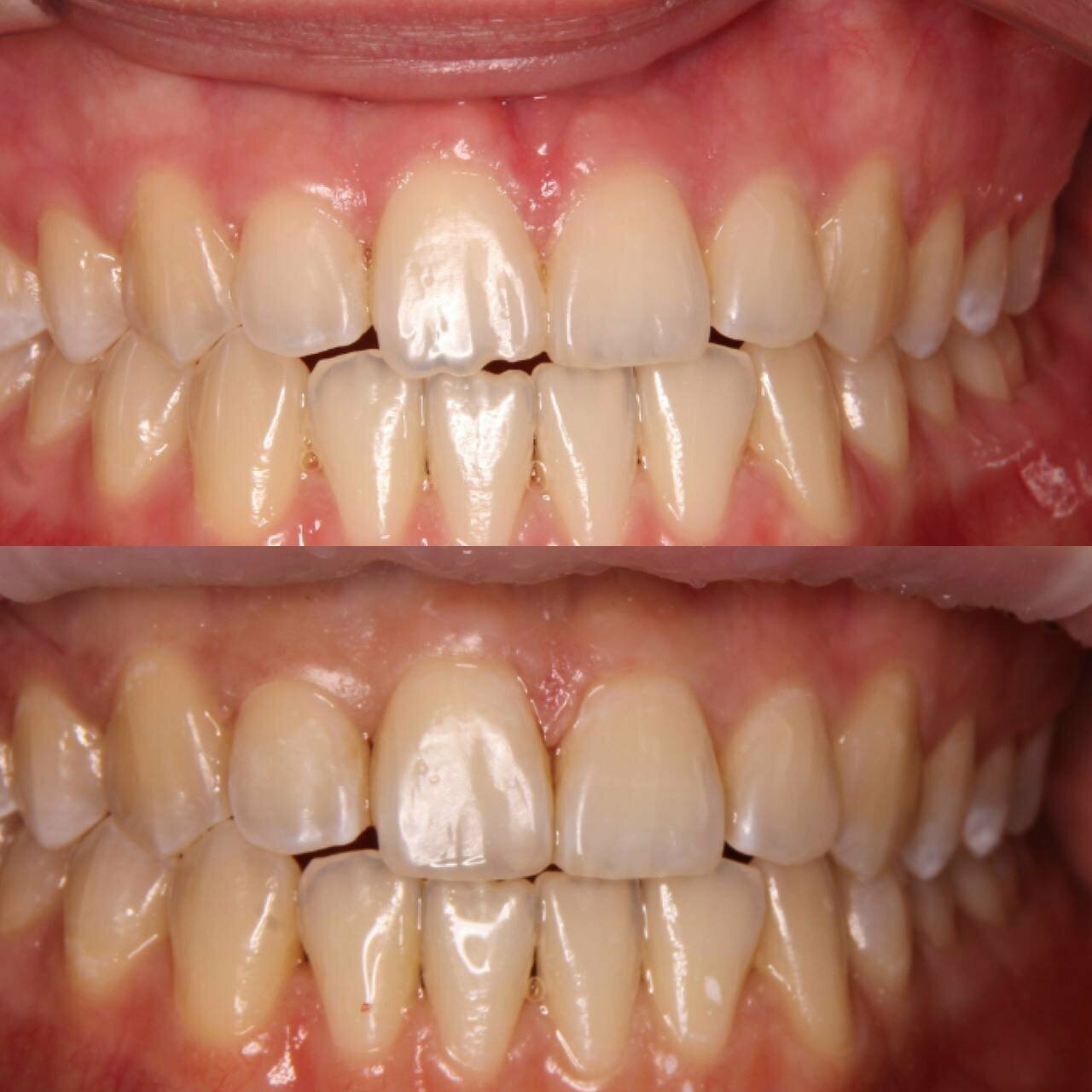
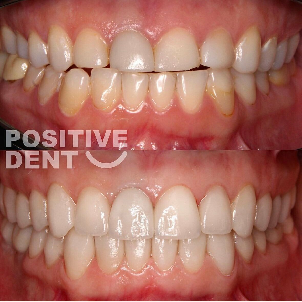
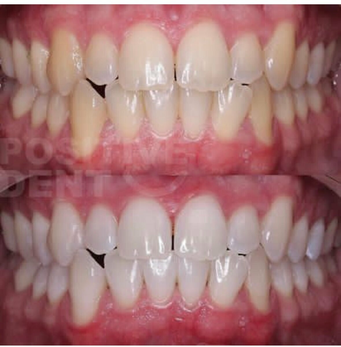
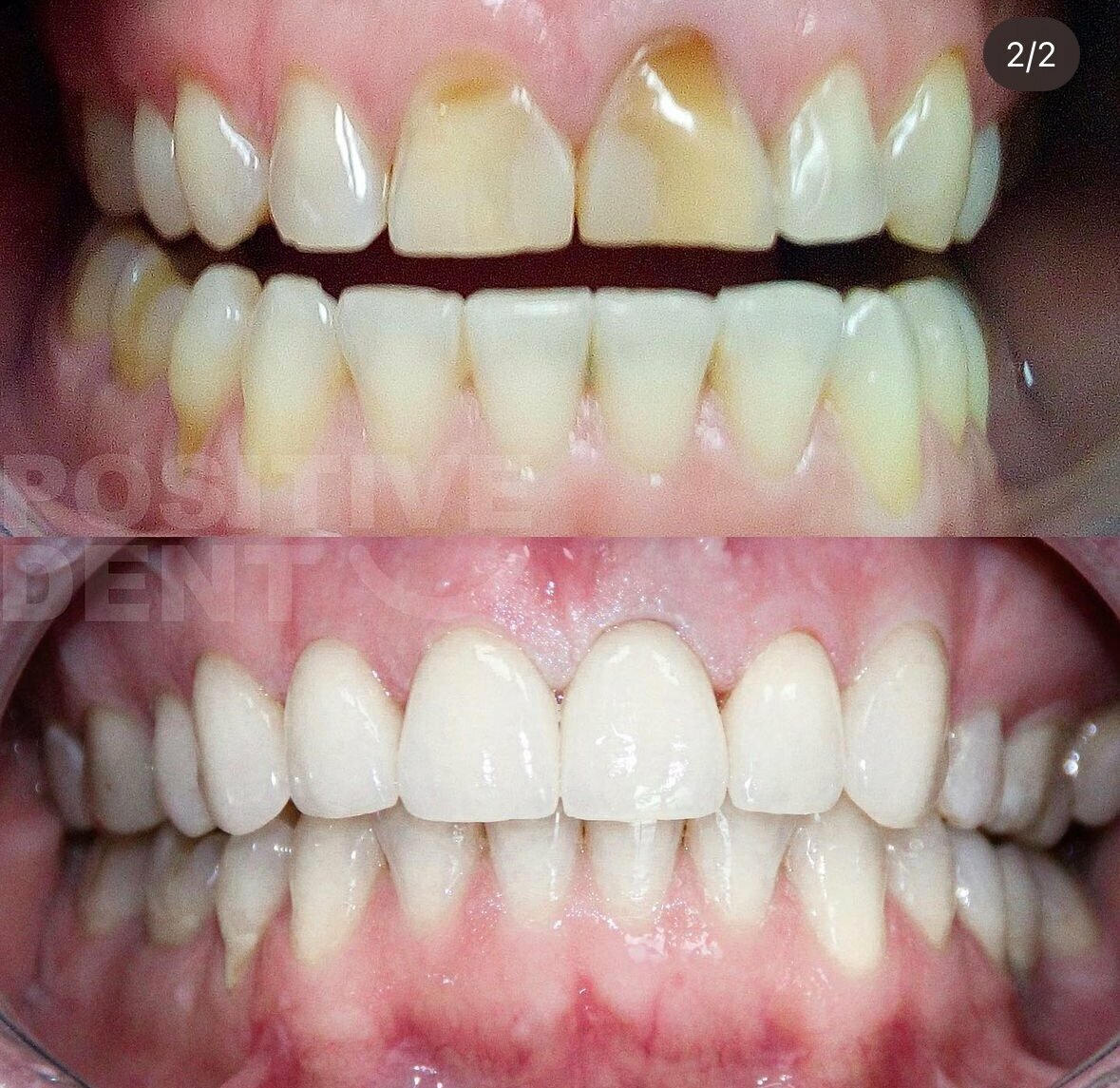
Основные направления работы стоматологии включают общую стоматологию, ортодонтию, хирургическую и эстетическую стоматологию, а также детскую стоматологию. Среди услуг клиники: лечение кариеса, пломбирование, удаление зубов, имплантация, протезирование, отбеливание, установка виниров и брекетов, лечение десен, эндодонтия, компьютерная томография и костная пластика. В клинике есть детский кабинет, где специалисты оказывают услуги по уходу за зубами у детей.
«Позитив-Дент» оснащен современным оборудованием, что позволяет проводить процедуры безболезненно и эффективно. Клиника предлагает различные способы оплаты, включая наличные, безналичный расчет и оплату картой. Для удобства пациентов доступны парковка, велопарковка и Wi-Fi. Вход в помещение доступен для людей на инвалидных колясках.
Дополнительные услуги включают лечение в рассрочку, подарочные сертификаты, акции и подарки. Клиника предоставляет медицинские справки, включая обменную карту, медицинский осмотр и медицинскую книжку. «Позитив-Дент» гарантирует качественное лечение и заботится о здоровье и эстетике улыбки своих пациентов.
Контактная информация как добраться?
- Полный адрес: Свердловская область, Екатеринбург, улица Софьи Ковалевской, 3
- Ближайшая станция метро: Площадь 1905 года
- Район: Кировский район
- Микрорайон: жилой район Втузгородок
- Все телефоны компании: +7 (912) 246-49-19 | +7 (343) 378-65-19
- Сайт: https://pozitiv-dent.ru/
- Социальные сети:
Режим работы сегодня
Дополнительные услуги
- Доступность входа на инвалидной коляске
- недоступно
- Услуги
- хирургия
- эстетическая стоматология
- эндодонтия
- имплантология
- рентгенография
- ортодонтия
- челюстно-лицевая хирургия
- протезирование
- терапия
- пломбирование
- удаление зубов
- отбеливание
- лечение кариеса
- виниры и люминиры
- брекеты
- гигиена полости рта
- коронки
Услуги и цены – 46 предложений
Скачать прайс-лист Позитив-Дент на ноябрь 2025 годаАдрес стоматологии на карте
Узнайте, как доехать до стоматологии Позитив-Дент на карте ЕкатеринбургаДостоинства и недостатки из отзывов
- Возможность безналичной оплаты.
- Приятная атмосфера (музыка, освещение).
- Адекватные цены и скидки.
- Возможность смотреть фильмы во время лечения.
- Вежливые администраторы (напоминают о записи, помогают).
- Детские стоматологи высокого уровня.
- Комфортная и уютная обстановка.
- Внимательный и отзывчивый персонал.
- Удобное расположение.
- Профессиональная гигиена полости рта.
- Современное оборудование (включая панорамный снимок и КТ).
- Круглосуточный приём.
- Безболезненное лечение.
- Квалифицированные и аккуратные врачи.
- Доброжелательное отношение к детям (мультики, подарки, игры).

Частная стоматология во Втуз городке, 3 кабинета + аппарат КТ, современное оборудование, квалифицированный персонал (лечусь с 2014 года), есть детский врач. Широкий спектр услуг — от проф. гигиены до имплантации. Стоимость услуг — средняя по городу. Принимают наличные и безнал. Действуют скидки, но лучше напомнить об этом администратору перед лечением. Удобно, что приём ведется круглосуточно — всегда можно подобрать удобное время для лечения, также администратор всегда напоминает о приёме за день.
Очень классная стоматология, приветливый персонал, мне попадались потрясающие специалисты, в частности Сухина Е.В. Очень рекомендую! Было очень много страхов связанных с лечением зубов, но в грамотных и чутких руках все развеялись ❤
Легко найти, отзывчивый персонал, аккуратные врачи, все по высшему разряду. Рекомендую.
Самая лучшая стоматология. Отличные специалисты, комфортная обстановка. Детские стоматологи восхитительны. Оба ребёнка ходили спокойно и даже с радостью))). Глядя на них и сама решилась
Лучшая стоматология России! Летаем из другого города на лечение. Вежливый персонал, душевная атмосфера, качество лечения и профессиональная гигиена выше всяких похвал.
Замечательная комфортная клиника, были у детского стоматолога: мультики, подарки, большое внимание, все было предоставлено моей 6-летней дочке, которая очень боится зубных врачей.Можно сразу сделать панорамный снимок здесь- это очень удобно .Рекомендую !!!
Помимо качественной работы врача (водили ребенка 6 лет лечить 8 зубов 2 из них пульпитные, ребенок не плакал, с удовольствием в процессе смотрел мультики) очень отзывчивое и приятное обслуживание администратора. Ей отдельная благодарность. Чувствовал себя дорогим гостем!
Уже пару лет пользуюсь услугами данной стоматологии, очень нравится. Отличные специалисты, современное оборудование и адекватные цены. В самой клинике царит действительно доброжелательная атмосфера, я даже ни разу не ревела!)))) Администратор Неля всегда готова помочь и поддержать! Обязательно буду рекомендовать клинику знакомым
Замечательная стоматология. Отделали и оформили все помещения отлично — приятно находиться. Светло, уютно, мягкий расслабляющий свет. Был на приёмах у двух специалистов, все ребята молодые, вежливые и знающие своё дело. Полностью проконсультировали по процессу восстановления и уходу за полостью рта. Узнал много нового и интересного. Во время проведения процедур в кабинетах играла приятная музыка, было ощущение, что сижу на стрижке, а не на вырывании зуба Желаю вам двигаться в том же духе и побольше довольных клиентов) Сам буду обращаться только в данное заведение и советовать всем знакомым
Чудесная стоматология! Добрый, отзывчивый персонал. Относятся с максимальной заботой, уважением и пониманием! В такую клинику идешь лисить зубы, как на праздник ❤️
Детские зубы лечим только здесь Невероятно тёплый подход, атмосфера и результат на лицо, вернее во рту Очень отличный уровень!!!!
Отличная стоматология. Чисто уютно. Чай кофе всегда. Во время лечения можно просить включить фильм и смотреть пока лечат зубы. Чем ни раз пользовалась. Хожу сюда на чистку регулярно И по рекомендации к терапевту Рабе Галине Анатольевне. Отличный врач, все очень аккуратно, не больно, все понятно объясняет. Вообщем рекомендую всем.
Очень рада что как то раз обратилась в данную клинику!Повторно обратилась к хирургу Марселю Рифкатовичу за удалением сложного зуба,врач-безболезненно и очень быстро справился с ним.Всем тем кто испытывает страх перед лечением зубов очень советую данную клинику!грамотные и приветливые администраторы ответят на все интересующие вопросы!
Лечу зубы здесь 2019 года, никогда не пользовался услугой «гигиена рта» После этой процедуры десна стали розовыми, перестал плеваться кровью и чувствую , что во рту полная чистота без этого камня.
Большое спасибо за оказание экстренной помощи ребёнку! Отличные врачи и персонал. Однозначно рекомендую. Ещё раз спасибо!
Посещаю эту стоматологию не первый год, всегда все на высшем уровне, отдельное спасибо замечательнлму доктору Фахридинову Марселю, заботливый и с легкой рукой, делает все качественно. Сын тоже остается довольным, поуправлять алисой и получить игрушку всегда было приятно)), сейчас дорос до взрослого приема, ходит с удовольствием