Стоматология Флагманстом, Казань
Информация о стоматологии Флагманстом актуализирована в ноябре 2025 года:
Флагманстом
- Профессиональная чистка полости рта 5000₽
- Удаление зуба ультразвуком 13500₽
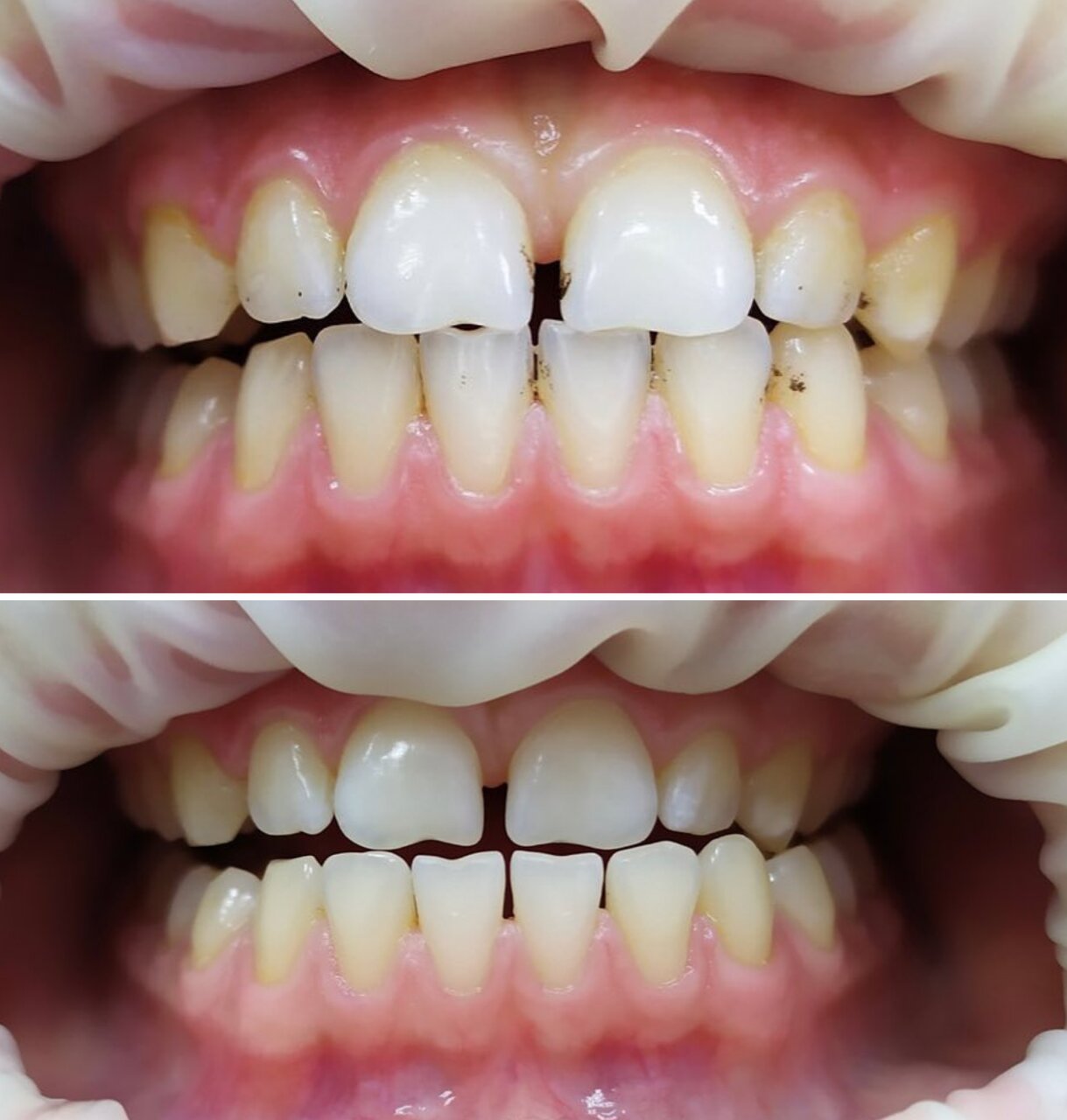
- Отбеливание зубов 22000₽
- КТ-снимок для имплантации 3300₽
- Консультация ортодонта 700₽
- Все цены (24)
- Доброжелательный и приветливый персонал.; Внимательное и отзывчивое отношение к пациентам.; Положительные эмоции после посещения.; Высокое качество лечения.; Отсутствие навязывания лишних услуг.
- Все плюсы и минусы из отзывов
-
проспект Победы, 46Ам. Проспект Победы 380 м
-
Сегодня уже закрытооткроется завтра в 08:00
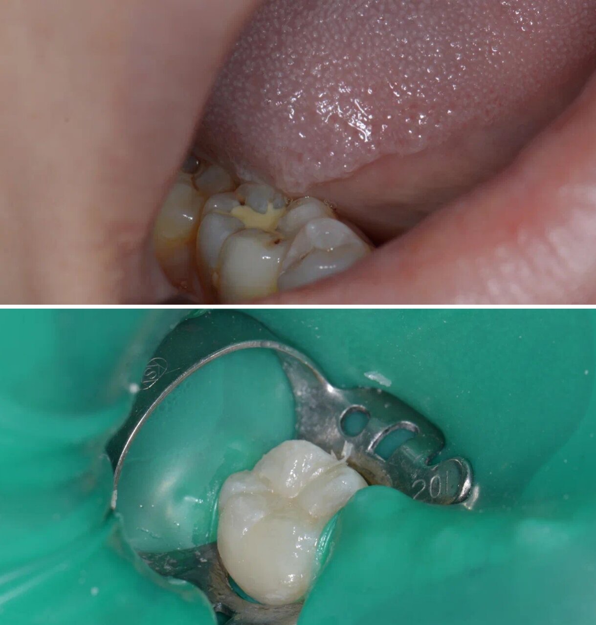
Флагманстом специализируется на различных направлениях стоматологии: общей терапии, хирургии, ортодонтии, эстетической и детской стоматологии, имплантологии, протезировании и эндодонтии. В клинике применяются передовые технологии, включая цифровую стоматологию CAD/CAM, лечение под микроскопом и компьютерную томографию, что обеспечивает высокую точность и комфорт для пациентов.
Клиника работает с понедельника по пятницу с 08:00 до 20:00, а в выходные дни — с 09:00 до 17:00. Записаться на прием можно по телефонам +7 (843) 291-61-73 и +7 (843) 205-04-33 или через официальный сайт https://flagmanstom.ru/.
Флагманстом заботится о доступности своих услуг: в клинике предусмотрены пандус, парковка и туалет для людей с инвалидностью, а также детский кабинет. Пациентам предлагаются различные способы оплаты, включая наличные, карты и безналичный расчет, а также действуют акции, скидки и подарочные сертификаты.
Среди дополнительных услуг — отбеливание, установка виниров и люминиров, лечение кариеса, кисты зуба, периодонтита, костная пластика, гнатология и гигиена полости рта. В клинике работают квалифицированные специалисты: стоматологи-терапевты, хирурги, ортодонты, имплантологи и зубные техники.
Флагманстом гарантирует качественное лечение, комфортные условия и индивидуальный подход к каждому пациенту. Здесь можно получить бесплатную консультацию, воспользоваться Wi-Fi и оставить отзыв о работе врачей. Клиника соответствует требованиям Росздравнадзора и предлагает медицинские справки.
Контактная информация как добраться?
- Полный адрес: Республика Татарстан (Татарстан), Казань, проспект Победы, 46А
- Ближайшая станция метро: Проспект Победы
- Район: Приволжский район
- Микрорайон: микрорайон 7А, микрорайон Горки-3
- Все телефоны компании: +7 (843) 291-61-73 | +7 (843) 205-04-33
- Whatsapp: https://wa.me/+79270416861
- Сайт: https://flagmanstom.ru/
- Социальные сети:
Режим работы сегодня
Дополнительные услуги
- Доступность входа на инвалидной коляске
- доступно
- Услуги
- хирургия
- эстетическая стоматология
- эндодонтия
- имплантология
- рентгенография
- ортодонтия
- протезирование
- терапия
- пломбирование
- удаление зубов
- отбеливание
- лечение кариеса
- виниры и люминиры
- брекеты
- гигиена полости рта
- коронки
- лечение дёсен
Услуги и цены – 24 предложений
Скачать прайс-лист Флагманстом на ноябрь 2025 годаАдрес стоматологии на карте
Узнайте, как доехать до стоматологии Флагманстом на карте КазаниДостоинства и недостатки из отзывов
- Комплексный подход к лечению.
- Чистота и свежесть в клинике.
- Качественное оказание услуг.
- Доброжелательный и приветливый персонал.
- Внимательное и отзывчивое отношение к пациентам.
- Профессионализм врачей.
- Четкое и понятное объяснение лечения.
- Рекомендации от других пациентов.
- Отсутствие навязывания лишних услуг.
- Положительные эмоции после посещения.
- Высокое качество лечения.
- Безболезненность процедур.
- Оперативная запись и отсутствие задержек.

Отличная Стомотология , отдельное спасибо Расулу Ахматовичу все на высшем уровне!
Выражаю огромную благодарность врачу Айвару Раисовичу, за чуткий и грамотный подход. Врач ‘от Бога’! Шикарный специалист! Очень довольна! Огромное Вам спасибо!!!
Очень вежливый персонал. Динар Мансурович врач от бога. Знаток своего дела. Советую всем!
Очень всё понравилось,сложный зуб вылечен,страх похода к стоматологу пропал!отношение отличное,все объяснили,показали,рекомендации дали,рекомендую эту стоматологию
Хотела написать отзыв о вашей замечательной клинике. Во первых , очень приветливые и доброжелательные девушки сидят на ресепшене! Весь персонал все здороваются. Во вторых, Отдельная БЛАГОДАРНОСТЬ Сайфуллину Р. Р. у него золотые руки, просто профессионал своего дела! Все хорошо объясняет, делает свою работу качественно, безболезненно. В третьих, благодарность Гильфанову Р.М. Лечение зубов прошло на высшем уровне Данная клиника оставляет только положительные эмоции Всем рекомендую!
Лечусь у Мусагитовой Г. Р. Очень нравится доктор. Пришла в клинику по рекомендации близких. И не пожалела и всём советую её тоже. Приветливый персонал, хорошее отношение к людям
Делала в данной клинике профессиональную чистку зубов. Услуга была оказана очень качественно, прописали план лечения. Все на высшем уровне
очень благодарна Клиника чистая, администраторы доброжелательные
Вчера была на осмотре у ортодонта.Первая клиника,которая очень понравилась,врач все понятно объяснил,а так же очень быстро записал.Все врачи квалифицированы.Благодарю,за столь оперативную работу !
Прекрасные и очень внимательные, высокопрофессиональные специалисты. Отличный персонал и отношение к клиентам. Высокое качество лечения. Любимая и лучшая стоматологическая клиника!
Посещаю эту клинику уже 2 года. Удаляла здесь зубы мудрости, лечила пульпиты. Персонал всегда невероятно добр и отзывчив к своим клиентам, все врачи-профессионалы своего дела. В их клинике всегда чисто, свежо и все идет по времени,что для меня очень важно! Если вы записались на определенное время, вас не заставят долго ждать и вызовут вовремя!
Спасибо большое врачам клиники. Качественно ставят пломбы, безболезненно удаляют зубы, жду непременно прием гнатолога. Рекомендую
посоветовал мне эту самую лучшую клинику брат, съездил туда и убедился в этом, лучшая клиника, замечательные врачи, добрые, вежливые администраторы!
Качественное лечение, комплексный подход, все рассказывают и показывают, лишнего не навязывают. Большой спектр услуг