Стоматология ДентАли, Керчь
Информация о стоматологии ДентАли актуализирована в ноябре 2025 года:
ДентАли
- Эндодонтическое лечение ПУЛЬПИТА с применением микроскопа без восстановления культи зуба + анестезия + коффердам 2-х канальный Экстирпация пульпы Инструментальная и медикаментозная обработка корневого канала Пломбирование корневого канала зуба 13500₽
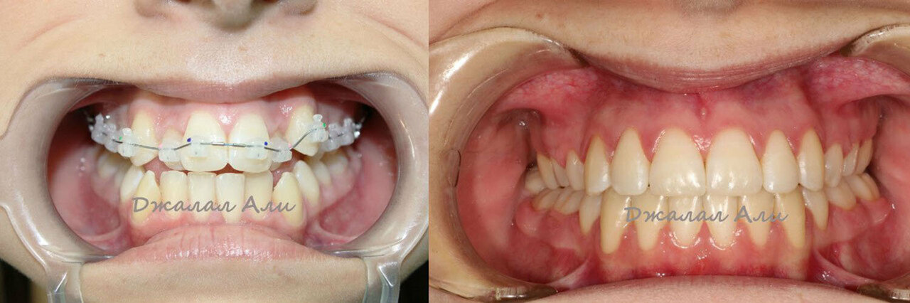
 - Ортодонтическая коррекция с применением брекет-системы: дуга ТМА 1800₽
 - Эндодонтическое лечение ПЕРИОДОНТИТА с применением микроскопа без восстановления культи зуба + анестезия + коффердам 3-х и более каналов Экстирпация пульпы Инструментальная и медикаментозная обработка корневого канала 14550₽
 - Ортодонтическая коррекция съемным ортодонтическим аппаратом (элайнер 1 ед.) 7000₽
 - Ортопантомография 1000₽
 - Все цены (92)
 
- Дружелюбный подход к детям (призы за храбрость).; Вежливый и учтивый персонал.; Возможность лечения сложных случаев без имплантации.; Чистота и порядок в клинике.; Четкое соблюдение заранее оговоренной стоимости.
 - Все плюсы и минусы из отзывов
 
- улица Шевякова, 23А
 -  
				 
  Закрыто до 09:00откроется через 2 ч 41 мин
 
ДентАли специализируется на диагностике, лечении и профилактике заболеваний зубов, десен и полости рта. В клинике работают квалифицированные стоматологи, использующие современные технологии и материалы для безболезненного и эффективного лечения. Основные направления включают терапию, хирургию, ортодонтию, эстетическую стоматологию, имплантацию, протезирование и гигиену полости рта.
Среди дополнительных услуг: лечение кариеса, пломбирование, удаление зубов, отбеливание, установка виниров и люминиров, брекет-системы, лечение десен и корневых каналов, рентгенография. Клиника оснащена современным оборудованием, включая автоматические двери и кнопку вызова персонала. Для удобства пациентов доступны парковка, Wi-Fi, пандус и частичная доступность для инвалидных колясок.
ДентАли предлагает различные способы оплаты: наличными, банковской картой или безналичным расчетом. Пациенты могут воспользоваться акциями, скидками, спецпредложениями, бонусами и подарочными сертификатами. Клиника предоставляет гарантию на лечение и соответствует требованиям Росздравнадзора.
Забота о здоровье и красоте улыбки — главный приоритет стоматологии ДентАли. Профессиональный подход и комфортные условия делают лечение приятным и результативным.
Контактная информация как добраться?
- Полный адрес: Республика Крым, Керчь, улица Шевякова, 23А
 - Район: микрорайон Автовокзал
 - Все телефоны компании: +7 (978) 269-69-77
 - Whatsapp: https://wa.me/+79782696977
 - Viber: https://viber.click/+79782696977
 - Сайт: https://dentali-klinika.ru/
 
Режим работы сегодня
Дополнительные услуги
- Услуги
- хирургия
 - эстетическая стоматология
 - эндодонтия
 - имплантология
 - рентгенография
 - ортодонтия
 - протезирование
 - терапия
 - пломбирование
 - удаление зубов
 - отбеливание
 - лечение кариеса
 - виниры и люминиры
 - брекеты
 - гигиена полости рта
 - коронки
 - лечение дёсен
 - лечение каналов
 
 - Автоматическая дверь
 
Услуги и цены – 92 предложений
Скачать прайс-лист ДентАли на ноябрь 2025 годаАдрес стоматологии на карте
Узнайте, как доехать до стоматологии ДентАли на карте КерчиДостоинства и недостатки из отзывов
- Внимательное отношение к пациентам (объяснение процедур).
 - Четкое соблюдение заранее оговоренной стоимости.
 - Уважительное отношение администратора (Анастасия).
 - Официальный договор (возможность налогового вычета).
 - Хорошо оборудованная клиника (есть КТ).
 - Дружелюбный подход к детям (призы за храбрость).
 - Профессионализм врачей.
 - Внимательный и аккуратный врач (доктор Али).
 - Чистота и порядок в клинике.
 - Возможность лечения сложных случаев без имплантации.
 - Использование современного оборудования и технологий.
 - Приемлемые цены (по мнению большинства).
 - Вежливый и учтивый персонал.
 - Долгосрочные положительные результаты лечения.
 - Качественное лечение.
 
- Не все попали на прием (по личным причинам)
 - Очень высокие цены (по мнению одного из отзывов).
 

Хорошая частная клиника. Владелец клиники сам стоматолог. Очень вежлив и учтив. Но не только он, а и весь персонал! Но самое главное, что в клинике работают профессионалы! Рекомендую всем!
Заходила на консультацию, записали на прием. Все тактично. В стоматологии блестящая чистота. К врачу не попала, о приеме ничего не могу сказать. (по личным причинам)
Хорошая стоматология,приятный и вежливый коллектив,приемлимые цены и качество на высшем уровне.
Лечила зубы. Обслуживание очень хорошее… Цены ОЧЕНЬ высокие. На всё. Больше сказать ничего не могу.
Очень хорошая стоматология. Услуги оказываются качественно, быстро. Была там сама и приводила сына. Ребёнок не боялся , доктор был очень приветливый. После лечения ребёнок получил приз за храбрость что его очень порадовало.
Проходила ортодонтическое лечение у доктора Али, была проделана большая (колоссальная )работа, случай был не простой, думала придётся со своими зубами проститься и ставить импланты, но доктор очень грамотно составил весь план лечения и произошло чудо, по другому и не скажешь, результат превзошёл все ожидания. Три года я носила брекеты, и все три года цена была такая как изначально была прописана в договоре. По моим рекомендациям уже много моих знакомых остались очень довольны клиникой и докторами. Спасибо большое доктору Али за профессионализм, таких специалистов у нас в городе больше нет.
Проходили лечение у доктора-ортодонта. Грамотный, внимательный специалист. Свою работу знает на отлично. Используют современное оборудование и современные технологии. Сын 14 лет очень доволен результатом.
Лучшее стоматологическая клиника . Приятные и профессиональные врачи, которые привели зубы в идеально ровное состояние. Помогут не только с болью в зубах, но и поставят брекеты , приведут ваши зубы в идеальное состояние, чтобы у вас не случилось. Очень советую всем, сама хожу туда постоянно. Там и в правду, волшебные , молодые, дружелюбные врачи.
Хочу выразить огромную благодарность доктору Али и его команде профессионалов, за пройденное лечение и красивую улыбку. Я так рада что пришла именно к Вам! Вы делаете шедеврально на все Мастер с огромным сердцем !!!
Приехала специально из другого города к доктору Али. Прохожу у него ортодонтическое лечение уже второй год, всегда внимательно и очень аккуратно делает свою работу. Клиника хорошо оборудована, можно сделать КТ.
Хорошая клиника. Очень внимательный персонал. Делали капу старшей дочери у ортодонта Али, всё очень понравилось.
Специалисты очень квалифицированные, внимательные к пациентам и уважительные. Администратор Анастасия — внимательна, пунктуальна, вежлива. Обслуживание в этой клинике премиум класса!
Приличная стоматология. Посещал раз 5 (делал чистку, ставил пломбу и вырывал зубы мудрости) Все прошло гладко.
Самый лучший доктор ортодонт! За красивой улыбкой только к доктору Али!
Очень понравилось. Прекрасный сервис, отличные доктора, приемлемые и адекватные цены! Заключается официальный договор на оказание услуг (можно сделать налоговый вычет — кому интересно). Есть прайс. Стоимость говорится до начала работ — очень удобно, ни разу не получила неприятный сюрприз в виде заоблочного увеличение стоимости ‘на финише’. Получила качественное лечение и протезирование. Леченный зуб не беспокоит больше и выглядит шикарно, к протезу нет нареканий уже более трёх лет. Спасибо большое, улыбаюсь — не стесняюсь
Замечательная клиника. Удобная локация и парковка. По технологическому и аппаратному обеспечению многие могут позавидовать — свой компьютерный томограф, аксиография, собственное производство элайнеров, внутриротовые сканеры, компьютерная навигация и прочие дивайсы от стоматологии. Суперграмотные врачи способные справиться с любой проблемой ☝️. Ну и сам доктор Али — гремучая смесь знаний, интеллекта, харизмы и профессионализма , ортодонт с огромным опытом и врачебной интуицией — найдет выход из любой ситуации. Это не инстаграмная клиничка, Но если за правильным лечением и здоровьем — то дорога только к ним. Короче респект и лайк
Спасибо доктору Али!!! Лечимся всей семьёй, очень хороший подход к клиентам и качественное лечение Думаю что эта клиника одна из лучших Крыму!!!
Отличная клиника, врачи–мастера своего дела! Всё рассказывают, объясняют, держат в курсе происходящего. Чувствуешь себя в надёжных руках.