Стоматология Клиника Шамова, Махачкала
Информация о стоматологии Клиника Шамова актуализирована в октябре 2025 года:
Клиника Шамова
- Консультация стоматолога-ортопеда 1₽
- Консультация стоматолога-терапевта 1₽
- Консультация стоматолога-имплантолога 1₽
- Консультация стоматолога по лечению на элайнерах 1₽
- Консультация стоматолога-ортодонта 1₽
- Все цены (5)
- Доброжелательный и вежливый персонал.; Положительные результаты лечения.; Высокий профессионализм врачей.; Слаженная работа коллектива.; Внимательное и чуткое отношение к пациентам.
- Все плюсы и минусы из отзывов
- проспект Имама Шамиля, 66Д
-
Закрыто до 08:00откроется через 7 ч 2 мин
Клиника работает с понедельника по субботу с 08:00 до 20:00, а в воскресенье — с 10:00 до 16:00. Связаться с клиникой можно по телефону +7 (928) 800-86-39, а также узнать подробности на официальном сайте https://shamovclinic.ru/.
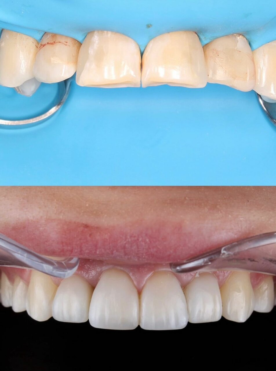
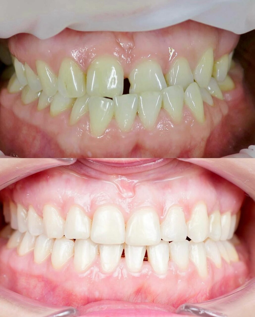
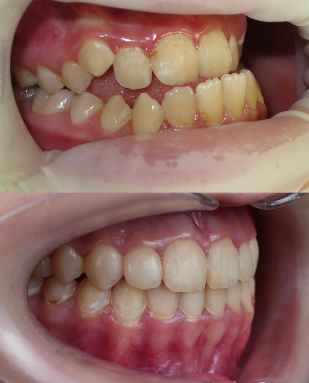
Основные направления стоматологии в клинике включают общую стоматологию, ортодонтию, хирургическую стоматологию, эстетическую коррекцию улыбки и детскую стоматологию. Среди услуг доступны лечение кариеса, пломбирование, удаление зубов, имплантация, протезирование, отбеливание, установка виниров и брекетов, гигиена полости рта, лечение десен и корневых каналов. Также клиника предлагает рентгенографию, костную пластику, лечение периодонтита и кисты зуба, реставрацию зубов.
Для удобства пациентов в клинике есть детский кабинет, доступная среда для маломобильных групп, Wi-Fi и лифт. Оплата возможна различными способами: наличными, картой, банковским переводом, безналичным расчетом, онлайн, а также в рассрочку. Действует дисконтная система скидок и акции с бонусами.
Помимо стоматологии, клиника предоставляет медицинские косметологические услуги, включая ботокс, контурную пластику, инъекционные процедуры, пилинг, очищение кожи, коррекцию фигуры, увеличение губ и перманентный макияж.
В клинике работают высококвалифицированные специалисты: стоматологи-терапевты, хирурги, ортодонты, имплантологи, пародонтологи, гигиенисты, а также косметологи и логопеды. Пациентам доступна бесплатная консультация.
Клиника Шамова использует передовые технологии и материалы, обеспечивая безболезненное и эффективное лечение. Забота о здоровье и красоте улыбки здесь сочетается с комфортом и индивидуальным подходом к каждому пациенту.
Контактная информация как добраться?
- Полный адрес: Республика Дагестан, Махачкала, проспект Имама Шамиля, 66Д
- Район: Советский район
- Микрорайон: микрорайон 5-й Жилгородок
- Все телефоны компании: +7 (928) 800-86-39
- Whatsapp: https://wa.me/79288008639
- Viber: https://viber.click/79288008639
- Сайт: https://shamovclinic.ru/
- Социальные сети:
Режим работы сегодня
Дополнительные услуги
- Доступность входа на инвалидной коляске
- доступно
- Услуги
- хирургия
- эстетическая стоматология
- эндодонтия
- имплантология
- рентгенография
- ортодонтия
- протезирование
- терапия
- пломбирование
- удаление зубов
- отбеливание
- лечение кариеса
- виниры и люминиры
- брекеты
- гигиена полости рта
- коронки
- лечение дёсен
Услуги и цены – 5 предложений
Скачать прайс-лист Клиника Шамова на октябрь 2025 годаАдрес стоматологии на карте
Узнайте, как доехать до стоматологии Клиника Шамова на карте МахачкалыДостоинства и недостатки из отзывов
- Высокий профессионализм врачей.
- Положительные результаты лечения.
- Безболезненное проведение процедур.
- Слаженная работа коллектива.
- Внимательное и чуткое отношение к пациентам.
- Чистота и уют в клинике.
- Доброжелательный и вежливый персонал.
- Гибкость и готовность пойти навстречу пациентам.
- Разъяснение всех этапов лечения.
- Качественное оборудование.
- Перенос времени приема.
- Долгое ожидание (более 2 часов)

Очень понравилась клиника!!! начиная с администратора заканчивая врачом. Вылечили зуб безболезненно и самое главное качественно, всем буду рекомендовать)
Очень понравилась клиника ,грамотные специалисты , девушки в регистратуре умнички 👍 Пришли к ортодонту Амиру Надыровичу , впервые я полностью довольна консультацией , целостный подход , всё покажет , все возможные риски ,исход ,осложнения и т.д. Была у многих ортодонтов , я сама доктор в СПб , но осталась довольна именно его подходом 👏🏻👏🏻👏🏻 Смело доверяю своих близких и родственников Амиру Надыровичу!
Хочу выразить слова благодарности ортодонту Амиру Надировичу в клинике доктора Шамова! Спасибо Вам огромное за то, что дали надежду на результат (сама я не очень верила,что будет такая разница))), за терпение проявленное на протяжении всего лечение, а это 2,5 года , за обратную связь, когда это было необходимо, за всю огромную, проделанную работу! День снятия брекетов был одним из самых счастливых моих дней! Знайте ,что ваша работа стала причиной счастья ещё одного человека! Прошу у Всевышнего,чтоб он даровал Вам и вашей семье здоровья и долголетия, чтоб вы еще с большим усердием делали свою работу и стали причиной ещё большего количества красивых улыбок!
Отличная стоматология 👌. Лечу зубы у Билала Мурадовича. Очень трепетно относиться к клиентам , огромная благодарность ему за профессионализм и преданность своему делу .🫶🏻 Долгих лет службы и процветание клинике «Шамова»
Приношу свою огромную благодарность начиная с персонала и заканчивая до ортопеда ! Всей командой большие молодцы , я была записана к Канаеву Гаджи. Канаев Гаджи профессионал своего дела, еще ортопед у них конечно Фамилию не помню, такой он специалист хороший в общении и советами чтобы здоровенькими зубками ходить . Я в Москве давно живу и работаю но такого отношения и подхода к пациентам в первые вижу . Еще раз благодарю Вас
Хорошая клиника, отличное обслуживание, проходил лечение у нескольких врачей, все профессионалы, вопросов не возникает.
Я бы хотела выразить огромную благодарность Айше Ажумовне, которая лечила мои зубы. Она проявила высокую профессиональную компетенцию и заботу о моем здоровье. Все процедуры были проведены очень аккуратно и безболезненно, что сильно облегчило мои опасения и страх перед стоматологическими вмешательствами. Она всегда была готова ответить на все мои вопросы и объяснить каждый шаг лечения. Я очень довольна результатом лечения и счастлива, что нашла такого замечательного стоматолога. Спасибо еще раз за работу и заботу!
Отличная клиника! Ставили брекеты лет 5 назад очень качественно,в последующие приемы врач Салам Меджидович следил за динамикой прикуса,проводил параллельно с этим чистку зубов, и в итоге, прикус встал на место,также поставили ретейнеры,чтоб зубы не расходились, и дали капы надевать на ночь. За такое уважительное отношение к клиенту и деликатный подход я осталась благодарна Саламу Меджидовичу и его команде,в которой каждый знает свое дело. Вернусь сюда с удовольствием!
Клинику посетили впервые. Были на приеме у Сулейманова Арслана. И сын, и я осталось очень довольными. Считаю, что Арслан Рамазанович очень грамотный специалист, знает и любит свою работу. Наконец таки я нашла постоянного стомалога . Отдельно хочу выразить благодарность ортодонту Светлане, за ее консультацию Рекомендую всем
Лечение очень хорошее, но обслужтвание оставляет желать лучшего. Переносят время, а потом приходится ждать. Последний раз ждала более 2-ух часов.
Отличная клиника, обращаюсь не в первый раз, и всегда все на высоте. Спасибо Вам огромное. Салам Меджидович, прекраснейший главврач, очень внимательный к пациентам. Ганоцкая Светлана, несмотря на молодость, очень профессиональный ортодонт.
Уже год у дочки стоит съемная пластинка, потрясающий результат, наблюдаемся у Ганоцкой Светланы Андреевны, профи своего дела, очень внимательная, все очень четко объясняет, следуем всем рекомендациям и вот результат не заставил себя ждать. Однозначно рекомендую
Хороший врач,Ганоцкая Светлана Андрееевна! Очень довольна после визита к ней,свое дело знает! Рекомендую !
Очень благодарна клинике Шамова, весь персонал, вошли в положение, сделали для нас работу которую никогда не делали, я обошла много клиник и все разводили руками, Вы большие молодцы и специалисты своего дела, я безгранично благодарна Вам, процветания Вам и успехов пусть Аллах будет Вами доволен
Врач Магомедов Али Магомедович, отличный специалист, очень внимательный , все этапы обьяснял, рассказывал и очень безболезненно удалил зуб.
Хочу оставить отзыв на очень компетентного и вежливого врача Магомедова Али Магомедовича, у которого к тому же легкая рука.
Добрый день!☀Клиника что надо,одна из самых лучших клиник Дагестана.Мы каждый месяц едем с Дербента туда,врачи от Бога и проффесионалы своего дела.Одним словом,все на высшем уровне,что оборудование,что врачи. Персонал тоже очень вежливый,где надо всегда помогут,поэтому рекомендую.Особенно большое спасибо Шамову Саламу Меджидовичу и его помощнику.
Была на приеме у гигиениста Индиры Абдулмеджидовны. Прекрасный специалист, все доходчиво объяснила. Процедуру провели быстро и безболезненно, я осталась довольна. Персонал в клинике очень доброжелательный. Обращаюсь в клинику не первый раз и многим советую.
Очень крутая клиника. К другим больше не обращусь. Ребята проконсультировали очень доступным понятным языком. Всё сделали быстро. Дали полезные рекомендации. И по деньгам вышло очень даже не дорого. Особенно хочу отметить мастерство врача Артура Джабраилова. Настоящий профессионал своего дела. Спасибо. Всех благ.
Была на приеме у Саида Ибрагимовича все понравилось . Это самый лучший стоматолог ! Всем советую .
Были с мальчиком на консультации у ортодонта Ганоцкой. Светлана Андреевна все очень культурно и доходчиво объяснила. Ребенок чувствовал себя прекрасно во время консультации. Уверен с таким прекрасным специалистом, результат тоже будет шикарным. 🌹🌹🌹 Здоровья и долгих лет жизни.
Твердая пятерка!! Записались, подтверждение записи на Вотсап, после обратная связь. Современное оборудование. Мы из другого города, была нужна срочная консультация, осмотрели, дали все рекомендации и не взяли денег.. потому что была только консультация, манипуляций не было. Мы были приятно удивлены!
Очень вежливые приятные люди, ответственные, переживают за больных, уход на высшем уровне, отдельная благодарность Джабраилову Артуру, профессионал своего дела, пошли на встречу не оставили мать в больном состоянии, пусть Всевышний воздаст благом Амин
Во-первых,очень красиво,чисто,все улыбаются. Специалисты осень отзывчивые,профессионалы своегг дела. Спасибо за всё
Добрый день ! Была на приеме у Али Магомедовича, сложное удаление зуба мудрости! Очень компетентный, грамотный, тактичный врач . Ни каких болевых, не приятеых ощущений за все время работы (1,5ч. Прошли как пару минут) Спасибо большое
Как человек с очень низким болевым порогом, благодарю за профессионализм и легкость руки хирурга имплантолога Али Магомедовича. Отдельное спасибо руководителю клиники, по совместительству врачу ортодонту, Шамову Саламу Меджидовичу, за исправление неудачной работы предыдущего специалиста в кратчайшие сроки В целом, чувствуется слаженная работа коллектива данной клиники, дружелюбная атмосфера и чуткое отношение к пациентам, проявляющееся в каждой мелочи (выданные на период реабилитации препараты и т д. )
Все всегда на высшем уровне очень любим эту стоматологию Персонал очень вежливый