Стоматология Ортодонт Dental Clinic, Махачкала
Информация о стоматологии Ортодонт Dental Clinic актуализирована в ноябре 2025 года:
Ортодонт Dental Clinic
- ТРГ снимок 600₽
- 3d сканирование 3000₽
- БРЕКЕТ-СИСТЕМА В РАССРОЧКУ 3000₽
- Брекет - Система Самолигирующая IOS Pactive Металл (Америка) 39000₽
- Брекет - Система Самолигирующая Н4, Damon Q (Америка) 51000₽
- Все цены (6)
- Вежливый и приятный персонал.; Возможность выбрать удобное время приёма.; Чистота и аккуратность в клинике.; Профессионализм врачей.; Положительные эмоции от посещения.
- Все плюсы и минусы из отзывов
- улица Абубакарова, 67А
-
Закрыто до 09:00откроется через 18 мин
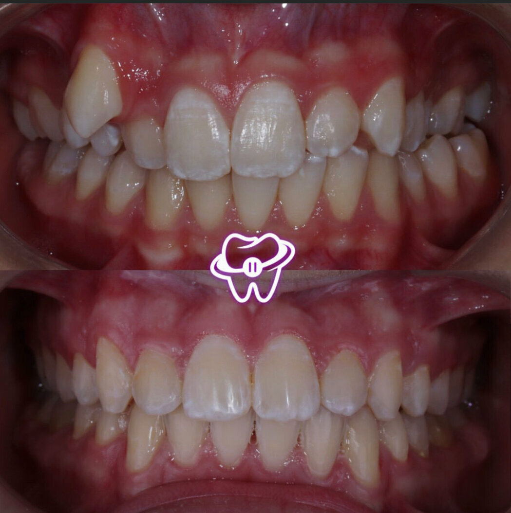
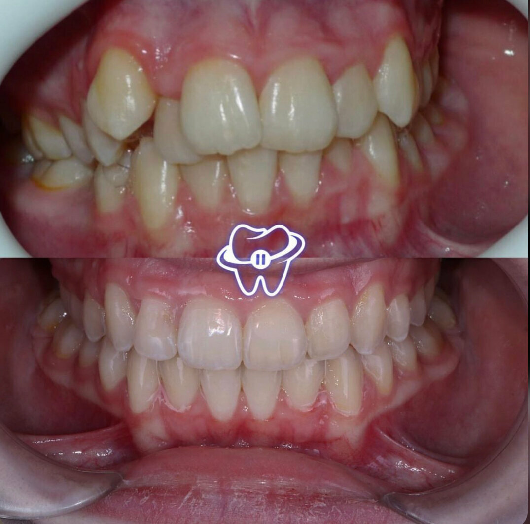
Специалисты клиники используют передовые технологии и методы лечения, обеспечивая безболезненные и эффективные процедуры. Среди ключевых направлений — исправление прикуса с помощью брекетов и элайнеров, установка виниров и люминиров, отбеливание зубов, лечение кариеса, удаление зубов, костная пластика, лечение заболеваний десен и челюстно-лицевые операции. Также доступны диагностические услуги, включая рентгенографию и компьютерную томографию.
Клиника работает ежедневно с 09:00 до 19:00, записаться можно по телефонам +7 (928) 523-61-61 и +7 (988) 638-86-06. Подробная информация представлена на сайте http://ortodont-dental.ru/.
Ортодонт Dental Clinic заботится о комфорте пациентов: в клинике есть парковка, Wi-Fi, доступность для маломобильных граждан (пандус, частично доступный вход на коляске). Принимаются различные формы оплаты — наличные, банковские карты, безналичный расчет, рассрочка. Действуют акции, подарочные сертификаты и гарантия на услуги.
В клинике работают квалифицированные специалисты: стоматологи-терапевты, ортодонты, хирурги, имплантологи, пародонтологи и зубные техники. Особое внимание уделяется детскому приему — для маленьких пациентов оборудован отдельный кабинет.
Контактная информация как добраться?
- Полный адрес: Республика Дагестан, Махачкала, улица Абубакарова, 67А
- Район: Советский район
- Все телефоны компании: +7 (928) 523-61-61 | +7 (988) 638-86-06
- Whatsapp: https://wa.me/79285236161?text=%D0%9F%D1%80%D0%B8%D0%B2%D0%B5%D1%82!+%F0%9F%91%8B+%D0%9C%D0%B5%D0%BD%D1%8F+%D0%B8%D0%BD%D1%82%D0%B5%D1%80%D0%B5%D1%81%D1%83%D0%B5%D1%82+
- Сайт: http://ortodont-dental.ru/
- Социальные сети:
Режим работы сегодня
Дополнительные услуги
- Доступность входа на инвалидной коляске
- доступно
- Услуги
- хирургия
- эстетическая стоматология
- имплантология
- рентгенография
- ортодонтия
- челюстно-лицевая хирургия
- протезирование
- терапия
- френулопластика
- пломбирование
- удаление зубов
- отбеливание
- лечение кариеса
- виниры и люминиры
- брекеты
- гигиена полости рта
- коронки
Услуги и цены – 6 предложений
Скачать прайс-лист Ортодонт Dental Clinic на ноябрь 2025 годаАдрес стоматологии на карте
Узнайте, как доехать до стоматологии Ортодонт Dental Clinic на карте МахачкалыДостоинства и недостатки из отзывов
- Высокое качество лечения.
- Стерильные условия.
- Безболезненное лечение.
- Возможность выбрать удобное время приёма.
- Быстрое и комфортное проведение процедур.
- Отсутствие навязывания лишних процедур.
- Чистота и аккуратность в клинике.
- Внимательное и чуткое отношение к пациентам.
- Уютная атмосфера в клинике.
- Положительные эмоции от посещения.
- Профессионализм врачей.
- Вежливый и приятный персонал.
- Чёткие и доходчивые объяснения лечения.
- Доброжелательные администраторы.
- Индивидуальный подход к каждому пациенту.

Приятный центр. Чисто опрятно. В кабинетах чисто, персонал приветливый, все объяснили и показали, что из за чего что и как.
Очень довольна посещением этой клиники, обратилась на установку брекетов по рекомендации, к Кистаман Халиловне, несмотря на свой молодой возраст, врач очень грамотная разъяснила всю схему лечения четко и доходчиво. Установка занимает не больше часа , все абсолютно безболезненно. Рекомендую!
От посещения данной клиники только положительные эмоции! Все хорошо начиная с зоны ресепшн и администраторов, завершая светлыми чистыми кабинетами и профессианализмом докторов!)
Современное оборудование, приветливость персонала и профессионализм врачей.
Брекеты ставил. Было не больно и на моё удивление очень быстро Обрадовал чай, который любезно предложили перед приемом
Сегодня посетила в первый раз эту клинику и осталась под прекрасным и приятным впечатлением ✨. Прекрасные специалисты и весь персонал-профессионалы своего дела, помимо этого очень приветливые, приятные, деликатные, тактичные. Ма ша Аллагь✨. Оперативно провели большое количество процедур, все под рукой, всё на уровне. Женский персонал- все такие обаятельные, красивые, приветливые. Ма ша Аллагь . Пусть Всевышний будет доволен вами . Теперь всем буду рекомендовать только вас .
Аккуратная хорошая клиника, запись нужно делать заранее иначе не попасть, достаточно дорого
Установили брекеты в этой клинике, цены приемлемые,предлагается рассрочка,что очень удобно.Врач ортодонт Кистаман Халиловна очень грамотный специалист,прекрасное отношение к пациентам.
Любимая стоматологическая клиника С самыми чуткими и внимательными врачами, прекрасными администраторами и уютной атмосферой!)
Очень довольны работой врача Лауры Магомедовной. Врач толковый, и как человек очень отзывчивый. Всё объяснила, на все вопросы дала исчерпывающие ответы. Благодарим замечательного администратора Киру. С ней наши походы сюда были максимально комфортные.
Клиника ортодонт дентал, мой первый опыт, прекрасный коллектив, особенно хочу отметить администратора Саида и ассистента Равиду, очень тепло и по доброму встречают и создают комфортную обстановку пребывания в клиника
Ортодонт Лаура Магомедовна— настоящий профессионал своего дела! Обратилась к ней с очень сложной проблемой — неправильное расположение клыков, нижних зубов и прикуса. Она внимательно изучила мою ситуацию, подробно всё объяснила и предложила оптимальный план лечения. На протяжении всего времени лечения я чувствовала себя комфортно и уверенно. Результат превзошел все мои ожидания! Зубы ровные, улыбка красивая, и главное — я чувствую себя намного увереннее! Искренне благодарю Лауру Магомедовну за её профессионализм, чуткость и внимательное отношение к пациентам! Рекомендую всем, кто ищет высококвалифицированного ортодонта!
Хочу поблагодарить клинику ортодонт дентал за теплый прием и отзывчивый персонал . Отдельная любовь администраторам Саидочке и Джамиле И остальные Можно придти , чтоб попить вкуснейший кофе Преставлена достойная продукция уходовая Удаляла несколько зубов у мугутдина мурадовича . Шикарный специалист Проводила замечательное лечение у магомед салама . Очень рекомендую и советую. Приветиливые ассистенты, которые помогут в любой момент и знают хорошо свою работу . Аккуратненькие и улыбчивые девочки ) Очень советую. Лучшие ))) ❤️
Пришла на имплантацию к доктору Мураду Мамедовичу,боялась жутко,но все прошло максимально безболезненно,на лечении в другой клинике было больнее,персонал очень вежливый,приятные администраторы❤️ ассистентка хирургии просто❤️все было стерильно,показали лично индикатор,очень рада что пришла именно в эту клинику,приду еще не раз,очень понравилось ❤️❤️❤️
Прекрасная клиника. Персонал высоко квалифицированный. Качество лечения на высоте. Девочки на reception, всегда приветливы Я клиент этой клиники уже два года. Рекомендую
Долго искала хорошую стоматологию, и наконец нашла. Мне очень нравится эта клиника. Она современная, удобная и расположена так, что мне легко до неё добираться. Цены приемлемые, а отношение персонала отличное. Особенно радует, что здесь есть детская стоматология. Хочу отметить, что здесь все чисто, стерильно, новое оборудование, можно сделать, как снимок одного зуба, так и панорамный снимок, а также КТ (что очень удобно, не надо никуда ехать) Хочу отметить и выразить свою огромную благодарность врачам Шахмиловой Лауре Магомедовой, Мугутдину Мурадовичу и Алиеву Магомедсаламу Багандгаджиевичу. Алиев Магомедсалам Багандгаджиевич очень квалифицированный и внимательный специалист. Благодарна ему за его кропотливый труд! Так же выражаю большую благодарность администраторам на ресепшн за качественную и оперативную работу❤️
Очень нравится эта клиника . И обслуживание на высшем уровне и врачи все на как подбор , все профессионалы своего дела Не буду отмечать врачей , потому что кому — бы вы не записались вы будете абсолютно довольны
Отличная стоматология с индивидуальным подходом к каждому пациенту. Не вооруженным взглядом видно, что тут работают профессионалы своего дела, которые выполняют свою работу на 100%. Огромная благодарность всему врачебному составу, среднему медицинскому персоналу и администраторам.
Третий год уже хожу сама и деток вожу! Отличный сервис, вежливые работники и компетентные работники! С уверенностью рекомендую!
Уже несколько раз была в стоматологии Ортодонт Dental Clinic, и каждый раз только положительные впечатления. Доктора здесь настоящие профи, всегда всё расскажут, объяснят, что и как будет происходить. Мне, например, очень нравится, что всегда есть возможность выбрать удобное время для приёма — администраторы всегда идут навстречу. Лечение проходит без стресса, не больно, да и атмосфера в клинике такая уютная, что не чувствуешь себя в стоматологическом кресле. Всегда уверена, что здесь мне окажут качественное лечение, и точно не будут навязывать лишние процедуры. Очень рада, что нашла такую клинику, теперь всегда обращаюсь сюда.
Вежливый персонал квалифицированные врачи приятная обстановка в клинике.Всегда чисто и аккуратно