Стоматология Авторская Стоматология, Ростов-на-Дону
Информация о стоматологии Авторская Стоматология актуализирована в октябре 2025 года:
Авторская Стоматология
- Открытие ретинированного зуба (простое) 5100₽
- Резорбируемая коллагеновая мембрана 30*40 Bio - Gide (Швейцария) 32800₽
- Ортодонтическая коррекция: Повторный визит с миофункциональным аппаратом 750₽
- Временная Пломбировка канала (вложение лекарственного препарата в полость зуба) 790₽
- Ортодонтическая коррекция: Повторная фиксация несъемного ортодонтического аппарата 4000₽
- Все цены (308)
- Возможность консультаций нескольких специалистов.; Чистота и приятная атмосфера в клинике.; Подробные и понятные консультации.; Вежливый и приветливый административный персонал.; Профессиональный и внимательный персонал.
- Все плюсы и минусы из отзывов
- улица Текучёва, 87, этаж 2
-
Закрыто до 09:00откроется через 6 ч 53 мин
Авторская Стоматология специализируется на диагностике, лечении и профилактике заболеваний зубов, десен и полости рта. В клинике работают опытные врачи, включая стоматологов-терапевтов, хирургов, ортодонтов, имплантологов, пародонтологов и детских специалистов.
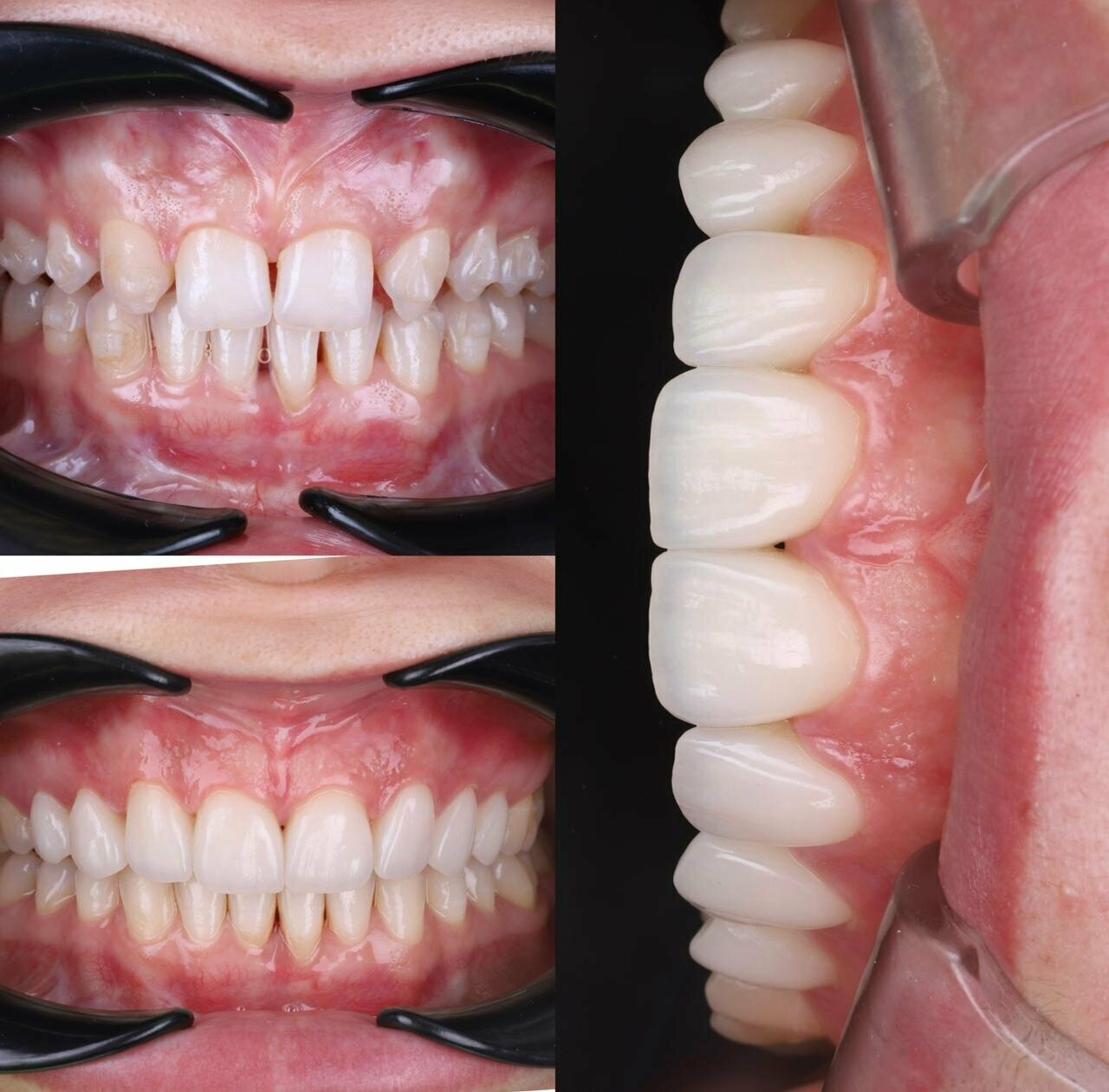
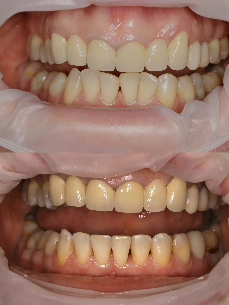
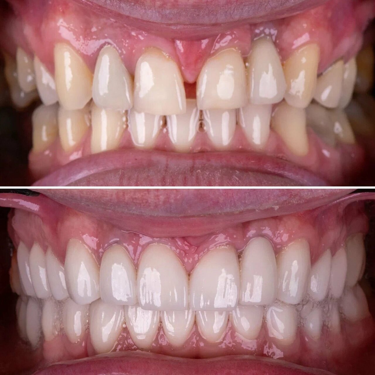
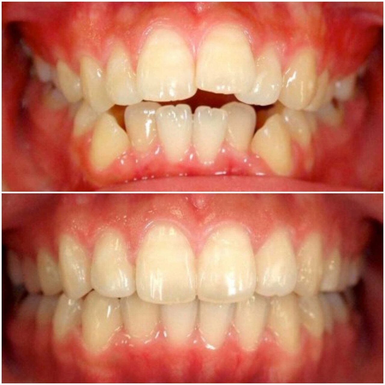
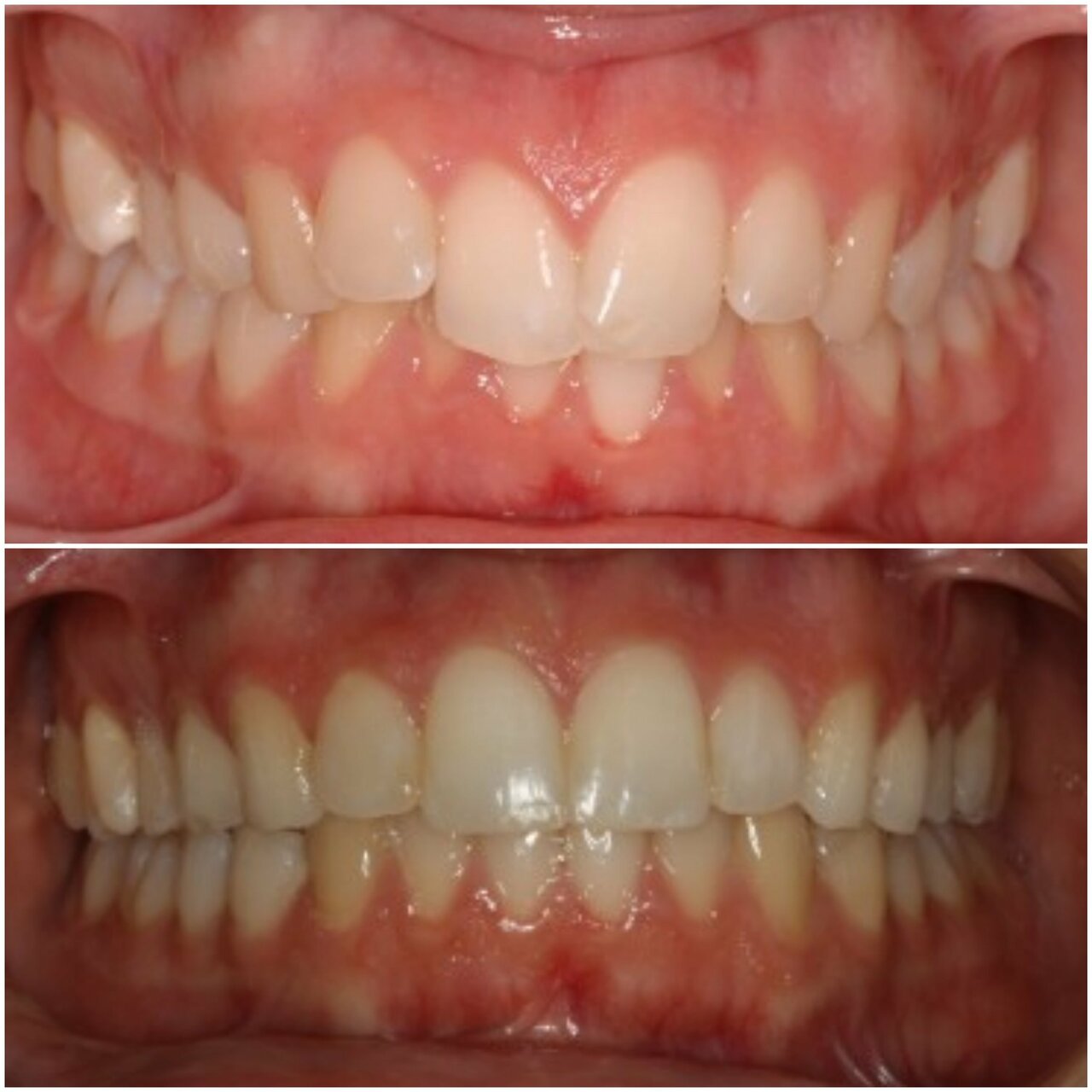
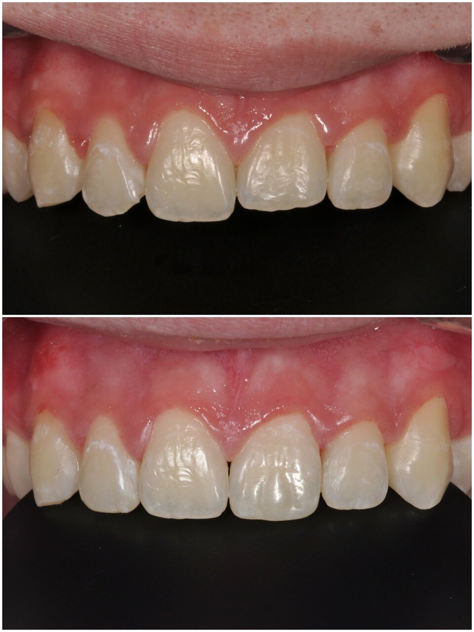
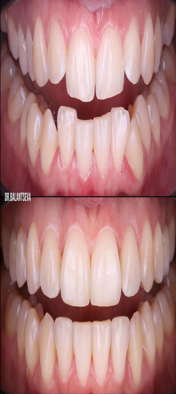
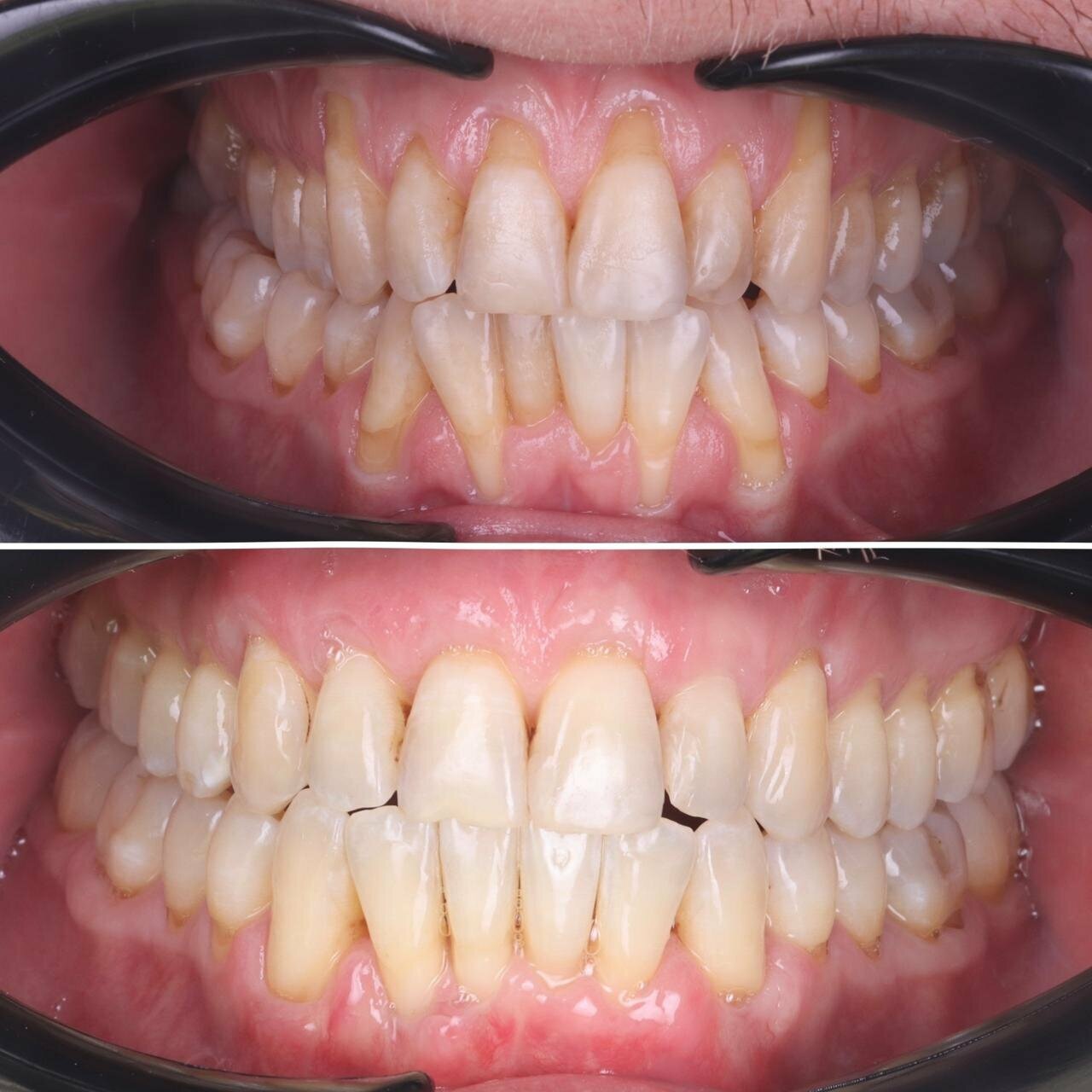
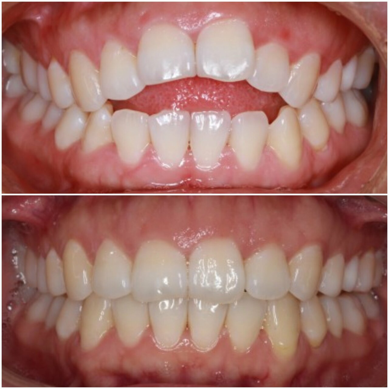
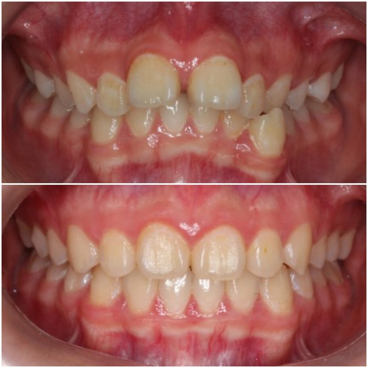
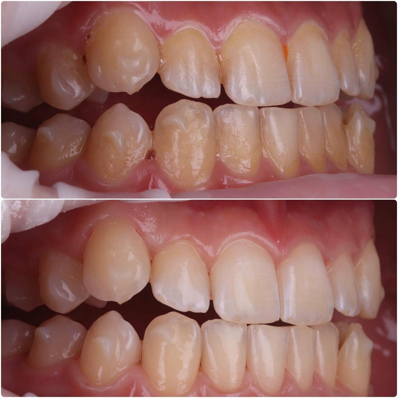
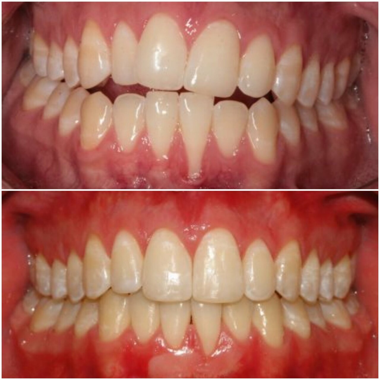
Основные направления работы клиники: — Терапевтическая стоматология: лечение кариеса, пломбирование, эндодонтия, лечение каналов, реставрация зубов. — Хирургическая стоматология: удаление зубов, имплантация, костная пластика, челюстно-лицевая хирургия. — Ортодонтия: исправление прикуса с помощью брекетов, элайнеров и других ортодонтических систем. — Эстетическая стоматология: отбеливание, виниры, люминиры, коронки, цифровое моделирование улыбки. — Протезирование и ортопедия: восстановление зубов с использованием современных технологий CAD/CAM. — Детская стоматология: лечение и профилактика заболеваний у маленьких пациентов.
Клиника оснащена передовым оборудованием, включая компьютерную томографию, микроскопы, лазерные технологии, что обеспечивает точную диагностику и комфортное лечение. Доступны различные методы анестезии, включая наркоз.
Для удобства пациентов предусмотрены парковка, Wi-Fi, возможность оплаты наличными, картой, безналичным расчетом и рассрочка. Вход для маломобильных пациентов частично доступен.
Подробная информация и запись на прием доступны на сайте клиники: https://avtorskaya-stomatologiya-tsentr-ortodontii.ru/avtorskaya_stomatologiya_na_ulitse_tekucheva/ или по телефону +7 (901) 139-68-44. В клинике регулярно проводятся акции и спецпредложения.
Контактная информация как добраться?
- Индекс: 344011
- Полный адрес: Ростов-на-Дону, улица Текучёва, 87, этаж 2
- Район: Ленинский район
- Микрорайон: микрорайон Новое Поселение
- Все телефоны компании: +7 (901) 139-68-44
- Whatsapp: https://wa.me/79613015555
- Сайт: https://avtorskaya-stomatologiya-tsentr-ortodontii.ru/avtorskaya_stomatologiya_na_ulitse_tekucheva/
- Социальные сети:
Режим работы сегодня
Дополнительные услуги
- Доступность входа на инвалидной коляске
- недоступно
- Услуги
- хирургия
- эстетическая стоматология
- эндодонтия
- имплантология
- рентгенография
- ортодонтия
- протезирование
- терапия
- френулопластика
- пломбирование
- удаление зубов
- отбеливание
- лечение кариеса
- виниры и люминиры
- брекеты
- гигиена полости рта
- коронки
Услуги и цены – 308 предложений
Скачать прайс-лист Авторская Стоматология на октябрь 2025 годаАдрес стоматологии на карте
Узнайте, как доехать до стоматологии Авторская Стоматология на карте Ростова-на-ДонуДостоинства и недостатки из отзывов
- Возможность решения сложных случаев без удаления зубов.
- Вежливый и приветливый административный персонал.
- Экстренная помощь при острой боли.
- Хорошие результаты лечения (ровные зубы, правильный прикус).
- Доброжелательные и отзывчивые врачи.
- Подробные и понятные консультации.
- Современное оборудование.
- Возможность консультаций нескольких специалистов.
- Новейшее оборудование для диагностики.
- Чистота и приятная атмосфера в клинике.
- Долговечные реставрации.
- Внимательное отношение к детям.
- Удобные и комфортные условия (удобные кресла, приятный запах).
- Высокое качество услуг.
- Профессиональный и внимательный персонал.
- Неподходящая клиника для лечения зубов (только для ортодонтии).
- Высокие цены.
- Некачественная диагностика в некоторых случаях.
- Длительное ожидание даже при записи
- Ошибки в диагностике (пропущенные проблемы).
- Постоянные задержки приема (ожидание от 20 до 60 минут).
- Отсутствие предварительного обсуждения стоимости услуг.

Пока только один минус, четвёртый раз прихожу на приём и каждый раз вовремя НЕ принимают, всё время ждать приходится 20- 30 минут! За такие деньги можно и скорректировать приём специалистов, чтобы пациент не ждал!!!!!!!
Самый лучший ортодонт Максим Сергеевич работает в этом стоматологическом центре
Посещала стоматологию проконтролировать прикус. Надежда Дмитриевна помогла мне исправить прикус без удаления зубов мудрости (когда приходила на консультацию в другие стоматологии там говорили, нужно удалять, чтобы можно было выровнять зубы). Благодарна за профессионализм всем врачам стоматологии, у которых была) Сейчас рекомендую стоматологию знакомым и моя семья тоже ходит туда при необходимости
Отличный сервис ,всегда приветливые девушки на ресепшн. В клинике Невероятный ароматизатор воздуха -божественный просто ) всегда чисто и приятно
Неадекватные цены.У ребёнка пяти лет была точка на зубе,сказали,что поверхностный кариес,поставили пломбу за 5,5К!Причем цену не оговаривают заранее,а выкатывают по факту на кассе.
Специалисты высокого класса! Рецепция работает отлично! Все профессионалы на своем месте.
Очень внимательное отношение к клиентам. Делал там орто-снимок на новейшем оборудовании, смело могу рекомендовать
Хорошее место для того ,чтобы выровнять зубы ,но для лечения не подходит . Мой папа пришел туда с проблемой -боль в зубе . Сделали КТ ,но видимо никто даже на него не посмотрел , сказали все сами пройдёт . В итоге это все вылилось в полугодовое лечение в другой клинике . Также , если вы приходите в свое время записи туда , то будьте готовы ждать еще от 20 до 60 минут и не важно пришли вы утром или вечером.
Вера Дмитриевна после КТ дала мне подробные объяснения по лечению зубов. Она проявляет эмпатию, профессионализм, она улыбчивая, добрая. Понравилось, что подробно отвечала на мои вопросы. Клиника тоже понравилось. Все чисто, красиво, стильно. Ещё я заметила, что оборудование новое. И кабинеты тоже. Приятно находиться. И даже кресло было очень удобное.
Понравились врачи и их отношение. Я приводила ребенка к ортодонту, был вопрос по поводу бруксизма. Доктор внимательно отнеслась, все объяснила, позвала еще одного нужного врача. Мы получили консультацию, рекомендации по лечению, на которое уже записались. Ребенок хорошо перенес осмотр и сам прием, его не напугали.
Мне все понравилось, особенно вежливый доктор, который отлично починил мне ретейнер, после чего меня ничего не беспокоило. Стоит отметить, что администратор хорошо общается. Я уже полностью прошла ортодонтическое лечение в этой клинике и теперь прихожу в стоматологию только, если у меня сломается капа или что-то случится.
Прохожу лечение в этой клинике последние пять лет. По линии терапии, хирургии, ортодонтии. Всё плотностью устраивает, отдельная благодарность врачам Пилипенко,Иванову,Ефимовой(14линия) Рекомендую эту стоматологию.
Хорошие специалисты!хорошее отношение к клиентам!помогают сделать зубы ровными с помощью элайнеров!
К специалистам претензий нет. Вызывают вопросы постоянные задержки , ожидание от 30 минут и выше. Научитесь уважать чужое время !
Современная стоматология. Улыбчивые девушки на Ресепшн. Врач ортодонт- большой профессионал. Сделали утром слепок, а вечером Капа уже была готова. Помещением довольна
Минусов не заметили, а плюсов очень много. Мы уже год с небольшим ходим после снятия брекетов на консультации. И всё отлично!
Жена проходит лечение в данной стоматологии, вопросов к лечению и компетентности докторов — нет, но сама организация взаимодействий с пациентом — отвратительна! Каждый раз приходится ожидать по 30-40 минут( про том что записываешься за месяц)! Администраторы придумывают разные оправдания, сначала говорят одно, потом другое. Могут записать к доктору в тот день когда он не работает, а узнаем об этом по приезду в стоматологию. В следующий раз, будем обращаться в другую клинику.
Посещаю эту стоматологию более двух лет . Довольна качеством услуг и отношением коллектива. Всем советую!
Доктор Пилипенко Надежда Дмитриевна настоящий профессионал своего дела. Очень благодарна ей за её чуткое отношение и прекрасную работу.
Ужасное отношение к клиенту . Просидев час на приём , на мою запись прошли 2 человека. Объяснить причину такого отношения ни кто не смог. Единственная фраза : полная запись , полная запись !!!!!
Отличная стоматология, Надежда Дмитриевна профессионал с большой буквы!!! Да и ее команда, тоже все молодцы! Выровняли дочке зубки, теперь улыбка на все 100!!!
Лечусь в этой клинике более 4х лет. Могу точно сказать, что сервис и оказание стом. мед. помощи на высоком уровне! Обращалась по острой боли, оказали экстренную помощь, удалось полечить зуб. Все реставрации как только что сделаны. Сейчас прохожу ортодонтическое лечение у Пилипенко Надежды Дмитриевны. Однозначно рекомендую. Спасибо большое.
Хорошая клиника, вежливый персонал, приемы почти без задержек, перенести прием затруднительно.
Очень понравилось отношение к пациентам, делают все возможное, чтобы было хорошее обслуживание и качественные услуги. Была у нескольких специалистов, все грамотно объясняли, не навязывали лишнего. Очень довольна лечением, клинику рекомендую.
Проходила лечение у Надежды Дмитриевны Пилипенко, что хотелось бы сказать : до этого консультировалась у других врачей, но никто так подробно и доходчиво не объяснил о ходе предстоящего лечения. Все прошло согласно плана, как доктор и обещал, результат отличный. Хочу отметить, что в клинике есть рентген кабинет, поэтому все обследования можно сделать на месте (КТ, панорамные снимки). Ассистенты везде сопровождают и объясняют все манипуляции, что не дает запутаться и добавляет спокойствия и уверенности. Администраторы на ресепшене очень отзывчивые, предлагают кофе/чай, всегда напоминали мне о предстоящем визите, в холле чисто и уютно. Рекомендую к посещению, если вы хотите получить услугу от профессионалов в комфортных условиях.
Довольно качественная стоматология с современным оборудованием и профессиональным персоналом, несмотря на то, что все молодые. Ребёнку зубы там делали (выравнивали), впечатления великолепные. (хоть и не дёшево)
Делала гигиену и отбеливание доктора Зотовой Ольги Александровны- очень понравился процесс и результат. Улыбка теперь белоснежная и шикарная.
Поставила импланты у доктора Перепелина. Очень приятный специалист, опытный и интеллигентный. На все вопросы отвечал понятно, не засмеялся с глупых вопросов (как было в другой клинике). Могу смело рекомендовать как Доктора с большой буквы!
Хорошие специалисты, адекватный сервис. В клинике нет кураторов-продажников, навязывающих вылечить Зубов больше, чем есть в полости рта. Для меня, как для образованного человека, предельно понятно, что зарплата таких кадров так же была бы включена в мой счет.
Отличная клиника. Качество услуг на высоте. Отдельное спасибо Надежде Дмитриевне за ортодонтическую помощь ребенку: ровные зубы, правильный прикус, красивая улыбка.
Прохожу лечение на элайнерах за год зубы выровнялись, без проблем Главное здесь сильная самодисциплина Жду продолжения лечения прикуса Огоомная благодарность Ковалеву Р.И.
Очень внимательные врачи. Делала гигиену полости рта. Здесь лучше всего. Спасибо!
Прохожу в Авторской стоматологии ортодонтическое лечение и так уж повелось что перед ним — и удаления были здесь же и лечение кариеса, чистка, в общем не знаю, остался ли вид лечения зубов, что я здесь не делала. Среди стоматологов терапевтов мне больше всех понравились доктор Матвеева и Касько М.А. Хотя, плохих, мне кажется там нет. Хирург умудрился вытащить зуб не расковыряв десны, хотя удаление было не из легких. Ортодонты достаточно внимательны. Удобно, что есть свой аппарат КТ, то есть если даже глазами кариес не видно, он не замеченным не останется) Да, — иногда приходится посидеть и подождать не смотря на то что пришел во время по записи, да, дорого, но где сейчас дешево… В целом, мне нравится эта стоматология и если бы меня спросили, — я бы рекомендовала!
Второй год мой отец проходит лечение в данной клинике, и не могут никак поставить имплаты. Постоянные расходы в виде чисток , лечений. Говорят все готово, сейчас ставим надо новую чистку иначе откажемся. В итоге на следующем приеме ни о каких имплатах не идет речь а опять лечение, обещанный срок пол года и вы с зубами, спустя два года, все еще без зубов. Нарощенные зубы развалились через неделю. Расходы перевалили за 300 тысяч и все еще без зубов
Авторская Стоматология, это лучшая клиника, где мне удалось побывать, очень внимательный персонал, высококвалифицированные специалисты. Выражаю огромную благодарность Богдановой Анне Николаевне и всем её ассистентам! Попав к Анне Николаевне на прием, я услышала от нее, я не могу делать лишь бы как, поэтому путь долгий, все подробно рассказала, составила план лечения, и вот спустя полтора года, у меня красивейшая белоснежная улыбка. Родные сказали, с такой улыбкой можно рекламировать стоматологию. Спасибо вам большое, Анна Николаевна, очень рада что попала именно к вам! С наступающим Новым годом! Крепкого здоровья, успехов и процветания!
Отличная стоматология! Уважительное и дружелюбное отношение к пациентам как у девушек на ресепшн, так и у врачей. Профессиональная команда ортодонтов, все расскажут, обтяснят, на все вопросы ответят) Потрясающая врач гигиенист Зотова Ольга Александровна! Все процедуры проходят комфортно, без боли и с отличным результатом!
Никогда не любила больницы и от их посещения проступала дрожь по телу, но в нашем современном мире все так быстро меняется… Оказалось, все может быть даже комфортно. В клинике сделано все так, что нет ощущения больницы, нет этого пугающего запаха и продирающего звука сверла до улицы, при ожидании можно уютно почитать и выпить кофе, врачи и ассистенты обходительные, с пониманием относятся к страхам и развеивают их. В какой-то момент мне даже понравилось лечить зубы… Теперь хожу довольная, что нет стресса, нет беспокойства, и больше не страшно!!! За несколько лет, как стала пациентом этой клиники, ощущение, что прошла курс психотерапии, на душе стало легче!