Стоматология Триумф-Элит, Ростов-на-Дону
Информация о стоматологии Триумф-Элит актуализирована в ноябре 2025 года:
Триумф-Элит
- Наложение швов 300₽
- Снимок рентгенографический 300₽
- Лечение периодонтита однокорневого зуба 10000₽
- Лечение пластиной Марко Росса 60000₽
- Установка брекет-системы Damon Q и H4 (1 челюсть) 55000₽
- Все цены (90)
- Внимательные и позитивные врачи.; Приятная атмосфера в клинике.; Профессионализм врачей (ортопедов, хирургов, ортодонтов).; Быстрое и четкое выполнение работы.; Безболезненные процедуры (даже сложные удаления).
- Все плюсы и минусы из отзывов
- проспект Королёва, 18
-
Закрыто до 09:00откроется через 6 ч 35 мин
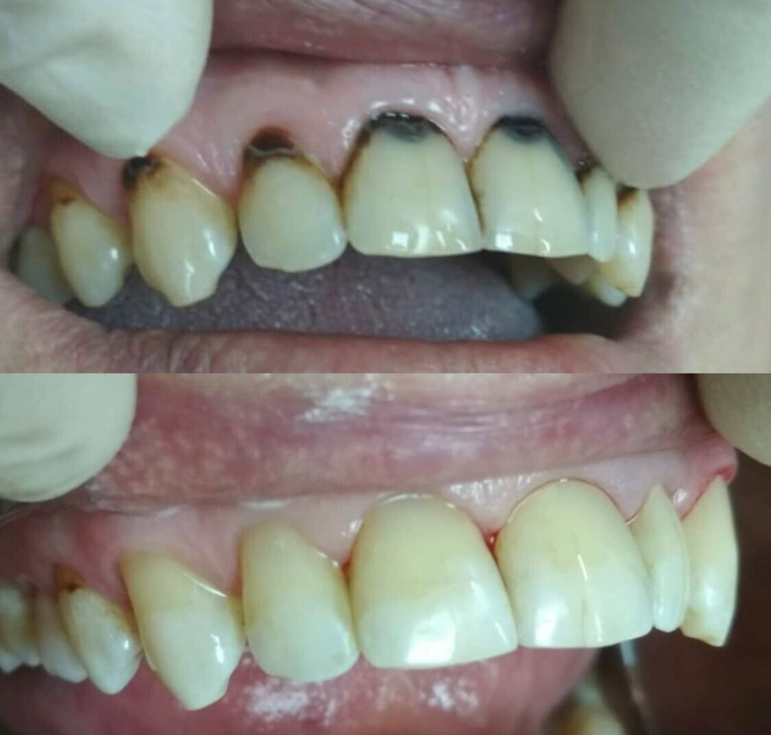
Основные направления работы включают общую стоматологию, ортодонтию, хирургическую и эстетическую стоматологию, а также детскую стоматологию. Среди услуг — лечение кариеса, периодонтита, кисты зуба, пломбирование, реставрация зубов, отбеливание, установка виниров, коронок, брекетов и элайнеров. Клиника также проводит имплантацию, протезирование, лечение дёсен и профессиональную гигиену полости рта.
В «Триумф-Элит» работают квалифицированные специалисты: стоматологи-терапевты, хирурги, ортодонты, имплантологи, пародонтологи, челюстно-лицевые хирурги, а также косметологи и дерматологи. Для удобства пациентов доступны различные способы оплаты, включая наличные, банковские карты, СБП, QR-код, онлайн-оплату и дисконтную систему скидок.
Клиника оснащена современным оборудованием, включая рентгенографию, что позволяет проводить точную диагностику и эффективное лечение. Дополнительные услуги включают подарочные сертификаты и предварительную запись. Подробная информация представлена на официальном сайте: https://triumf-elite.ru/. Контактные телефоны: +7 (863) 278-03-03, +7 (989) 522-38-88.
Контактная информация как добраться?
- Полный адрес: Ростов-на-Дону, проспект Королёва, 18
- Район: Ворошиловский район
- Микрорайон: микрорайон Северный
- Все телефоны компании: +7 (863) 278-03-03 | +7 (989) 522-38-88
- Сайт: https://triumf-elite.ru/
Режим работы сегодня
Дополнительные услуги
- Услуги
- лечение периодонтита
- реставрация зубов
- лечение кисты зуба
- лечение каналов
- пломбирование
- лечение дёсен
- отбеливание
- коронки
- терапия
- брекеты
- элайнеры
- гигиена полости рта
- ортодонтия
- виниры и люминиры
- рентгенография
- протезирование
- имплантология
- лечение кариеса
- удаление зубов
Услуги и цены – 90 предложений
Скачать прайс-лист Триумф-Элит на ноябрь 2025 годаАдрес стоматологии на карте
Узнайте, как доехать до стоматологии Триумф-Элит на карте Ростова-на-ДонуДостоинства и недостатки из отзывов
- Профессионализм врачей (ортопедов, хирургов, ортодонтов).
- Приятная атмосфера в клинике.
- Быстрое и четкое выполнение работы.
- Долговечный результат (импланты и коронки служат годами).
- Подробные консультации с объяснением лечения.
- Отзывчивый административный персонал (напоминания, удобная запись).
- Спасение зубов, которые другие клиники рекомендовали удалить.
- Хорошая детская стоматология (ребенок не боится).
- Безболезненные процедуры (даже сложные удаления).
- Доступные цены (немного дороже муниципальных, но лучше сервис).
- Доброжелательное отношение к пациентам.
- Качественное проведение операций (синуслифтинг, имплантация).
- Внимательные и позитивные врачи.
- Удаление негативного отзыва клиникой.
- Развитие осложнений (киста, удаление зуба после протезирования)
- Недостаточная диагностика перед установкой коронок (не отправили на МРТ).
- Неправильные рекомендации при осложнениях (совет жевать ириски).
- Отсутствие врача в экстренной ситуации (отправили домой с флюсом).

Ставили имплант — на шестой зуб у Котанчян Арсена Олеговича. Установили безболезненно. Пока на сторону, где стоит имплант стараюсь не есть, как и рекомендовал специалист. Уже весной можно будет поставить коронку на имплант.
Замечательный центр стоматологии Триумф-Элит! Профессиональные специалисты с большим опытом и клиентоориентированным подходом к пациенту! Отдельная благодарность администраторам,которые сумели оперативно организовать приём сразу терапевта, хирурга и ортопеда, составили комплексный план лечения, имплантации и протезирования! Уже приступили к лечению и гигиене, доктор очень внимательная и грамотная. Высокое качество по демократичным ценам.Благодарю Вас! Всем рекомендую, по вопросам стоматологии Вы лучшие!!!
5 звёзд и огромная благодарность от чистого сердца клинике. В частности, огромная благодарность врачу Матвеевой Натальи Ореевны. Очень грамотно расписала, что надо лечить и самое важное почему. Работы со мной было много, но всегда шел на лечение с полным спокойствием. А для похода к стоматологу это дорогого стоит. Если ищите стоматолога, без сомнений рекомендую посетить данную клинику
Очень благодарна стоматологии Триумф-Элит, особенно Шевцовой Наталье Львовне! Лечим зубы всей семьей у нее на протяжении более, чем двадцати лет и чрезвычайно довольны! СПАСИБО!
Всё устраивало.Платная клиника,ну и хорошо.Но сталкнулась с проблемой, которая как я считаю,с их стороны.Не доконца обследовали десну перед установкой дорогих каронок.В итоге снятие каронок!Ударило по зп моей..
цены не намного дороже, чем в муниципальных клиниках. Но обслуживание в разы приятнее. Есть детская стоматология, ребенок вышел от врачей в восторге, не пикнул ни разу, спросил, когда можно ещё прийти. Спасибо им большое.
Отличная стоматология, приезжаю специально с другого города, т.к. клиник на каждом шагу, а грамотных специалистов найти трудно. В последний раз был сложный зуб, который испортили давно в другой стоматологии, пришлось удалять, затем ставить имплант, отдельно хочется отметить хирурга-имплантолога Котанчан А.О., очень благодарна за профессионализм. В клинике приветливый персонал с максимально клиентоориентированным подходом. Спасибо руководству
Лечим зубы всей семьёй в ‘Триумф-Элит’.Классные стоматологи и атмосфера в клинике приятная, не пугающая. Всем советую!!!
Этот отзыв, для тех, кто ищет профессионала в стоматологии. Год назад мне посчастливилось, найти доктора, профессионала своего дела- ортопеда стоматолога! Костин Михаил Романович сделал мне коронки на имплантах из диоксида циркония. После чего я захотела виниры! Результат превзошел все ожидания!!! Всё четко, быстро и профессионально, рекомендую! Мои коллеги, знакомые и родственники тоже ходят к нему и очень довольны! Спасибо большое
Сегодня произошла крайне не приятная ситуация, я являюсь пациентом стоматологии, обратилась 3 недели назад с просьбой записать на процедуру, снятия ретейнера и установки нового, обещали перезвонить, но так и не позвонили. Ответ получила сегодня, когда сама обратилась в клинику, оказывается врач не захотел брать пациента на эту процедуру, причину мне толком так и не сказали. В тот же день позвонила в другие стоматологии, и меня с радостью все готовы были принять.
Писала отзыв о данной организации.И смотрю удалили его.А людям необходимо знать что такое может быть здесь.Устанавливали каронки.Было лечение перед установкой.Все отлично,всё хорошо.Но когда под каронкой появилась сильная боль,через пол года (я их предупреждала до постановки каронок что был флюз ранее над этим зубом).Сделали снимок обычный и врач посоветовал жевать ириски,чтобы снялась каронка.Все это болело пол года,в итоге раздуло щеку.Флюз.Тогда я еще раз пришла,ответили врача нет,приходите завтра.Назначили антибиотики и домойотправили.Не помогало,я им звонила.Девушка администратор посоветовала сделать мрт.В итоге киста.Платно сняли каронки и удалили зуб.Врачу которая удаляла,спасибо за аккуратность!Но считаю ,врачи данной клиники которые дустанавливали каронки,могли бы и до установки отправить на мрт.Темболее предупреждала о флюзах над данном зубе.
Хорошее место, особенное спасибо Шевцове Наталье Львове, у меня были очень серьёзные проблемы из за того что я почти никогда не чистил зубы (мне 12), полностью безболенно и не больно. Рекомендую!
Давно потеряла верхний зуб! По рекомендации обратилась в стоматологию Триумф-Элит! Провели консультацию! Необходимо было наращивание костной ткани. Операцию синуслифтинг делал Котанчян Арсен Олегович, очень внимательный и позитивный доктор. Работал быстро и как время показало качественно. Через 4 месяца поставили имплант и коронку на импланте. Вот уже три года прекрасно пользуюсь и радуюсь! Спасибо доктору и клинике!
Отличная стоматология , специалисты очень качественно выполняют свою работу.👍
Попала к доктору Шевцовой Наталье Лювовне — хочу выразить благодарность за профессионализм, хороше отношение к клиентам. Все понравилось , советую данную клинику и врача Наталюь Львовну!!!
Лечила десна у доктора Матвеевой Натальи Ореевны. Очень помогло. Результат хороший. Благодарю доктора и клинику.
Огромное спасибо Шевцовой Наталье за помощь. Пришла с острой болью, думала даже удалять зуб, но мне подобрали лечение и зуб сохранили. Я очень запустила состояние своих зубов, после лечения зуба обратилась т.ж и на ультразвуковую чистку зубов, все прошло хорошо. Администраторы тоже очень приветливые и напоминают о записи.
Никогда не верила что лечение зубов может быть комфортным, пока не попала сюда. Врач Наталья Львовна, подробно объяснила каждый этап, подобрала щадящую анестезию, а после процедуры дала чёткие рекомендации. Теперь всем знакомым советую только этого врача и клинику!Наталья Львовна спасибо за Ваш высокий профессионализм.
Огромное спасибо доктору Бабаджанян Галине Сергеевне. У меня была сложная ситуация с зубом. Доктор уделил мне внимание, проявил профессионализм. Зуб здоров!!!! Рекомендую!
Была на приеме у Яндашевской Ольги Алексеевны,проводили проф гигиену полости рта,процедура прошла безболезненно,зубки чистые,очень довольна,что попала именно к ней,профессиональный подход всех сотрудников.
Обратилась в Триумф-Элит. Попала к доктору Бабаджанян Галина Сергеевна. Первоклассный специалист! Доходчиво объясняет, что будет делать, какие манипуляции проводить! Всё чисто, аккуратно! Спасибо большое!
Классная стоматология!!! Особенно хочу выразить благодарность доктору Галине Сергеевне! Делает все качественно и безболезненно! Рекомендую!
Хочу выразить гиганскую благодарность доктору Галине Сереевне,за спасённый зуб,который должен был уйти в небытие,как предрекали другие доктара именитых клиник!Зуб еще послужит благодаря золотым ручкам Галины Сергеевны!Рекомендую!!!
Хочу выразить благодарность персоналу клиники Триумф-Элит, а в частности, доктору Шевцовой Наталье Львовне! Всегда до ужаса боялась стоматологов, но благодаря Вашему профессионализму и внимательному подходу к пациенту, мои детские страхи остались в прошлом)))) Организация работы клиники в целом, тоже на высшем уровне. Теперь-только к Вам))). И друзьям посоветую
Замечательная клиника, пользуемся ее услугами более 10 лет. Отдельное спасибо хочется сказать нашему доктору, Матвеевой Наталье Ореевне, за ее профессионализм в работе.
Проходил лечение и протезирование год назад.все понравилось.все отлично
Лечимся у Яндашевской Ольги Алексеевны уже много лет всей семьей. Замечательный стоматолог-профессионал. Хорошая клиника.
Прекрасная стоматологическая клиника с профессионалами!) начиная от регистратуры, где всегда тепло встречают с улыбкой, отзывчивые, всегда пытаются найти удобное время для пациента для записи к врачу, в случае чего прозвонят заранее, напомнят о записи, это очень важно в наше время!!! Лично была у хирурга Котанчян А.О на удалении Зубов мудрости. Я очень боюсь любого лечения, но с ним, все 4 удаления были на одном дыхании. Без боли, в периоде восстановления, никаких осложнений, боли, хотя случай тоже был не простой. Разряжал обстановку разговорам, смеялись, это очень важно с пациентами, сразу располагает к себе. Сейчас прохожу ортодонтическое лечение у врача Панахова З.Р уже 2 год. И уже прекрасный результат! Все всегда объяснят по ходу лечения, на все вопросы ответит , успокоит, особенно в паре с Хараманян О.Е прекрасный тандем, профессионалов и людей с доброй душой, которые прислушиваются к пациенту, и делают свою работу на все 200%!)))