Стоматология ФэмилиДент, Самара
Информация о стоматологии ФэмилиДент актуализирована в ноябре 2025 года:
ФэмилиДент
- Установка пломб у детей 1500₽
- Лечение кариеса 2500₽
- Имплантация 25000₽
- Чистка зубов для детей до 12 лет 1500₽
- Чистка зубов для взрослых 4000₽
- Все цены (5)
- Внимательность персонала и детальные объяснения.; Безболезненное и профессиональное лечение.; Приемлемые цены.; Идеальные условия для детей (мультики, подарки).; Квалифицированные стоматологи.
- Все плюсы и минусы из отзывов
-
Нагорная улица, 133м. Безымянка 2,52 км
-
Открыто до 20:00до закрытия 1 ч 9 мин
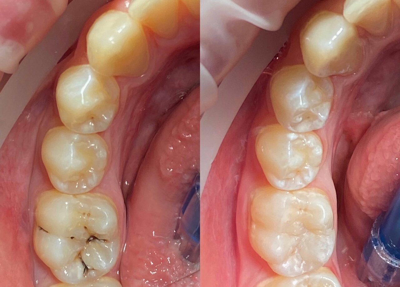
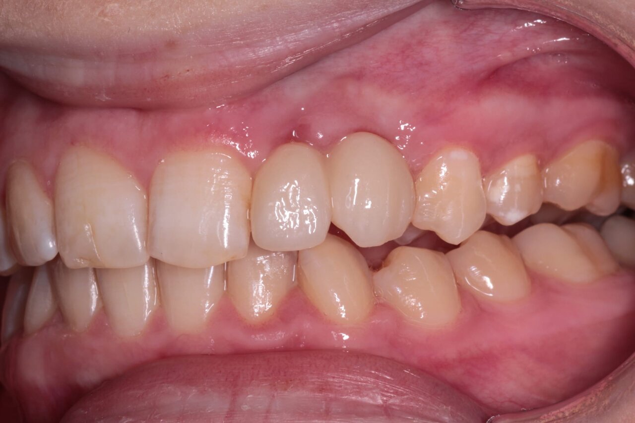
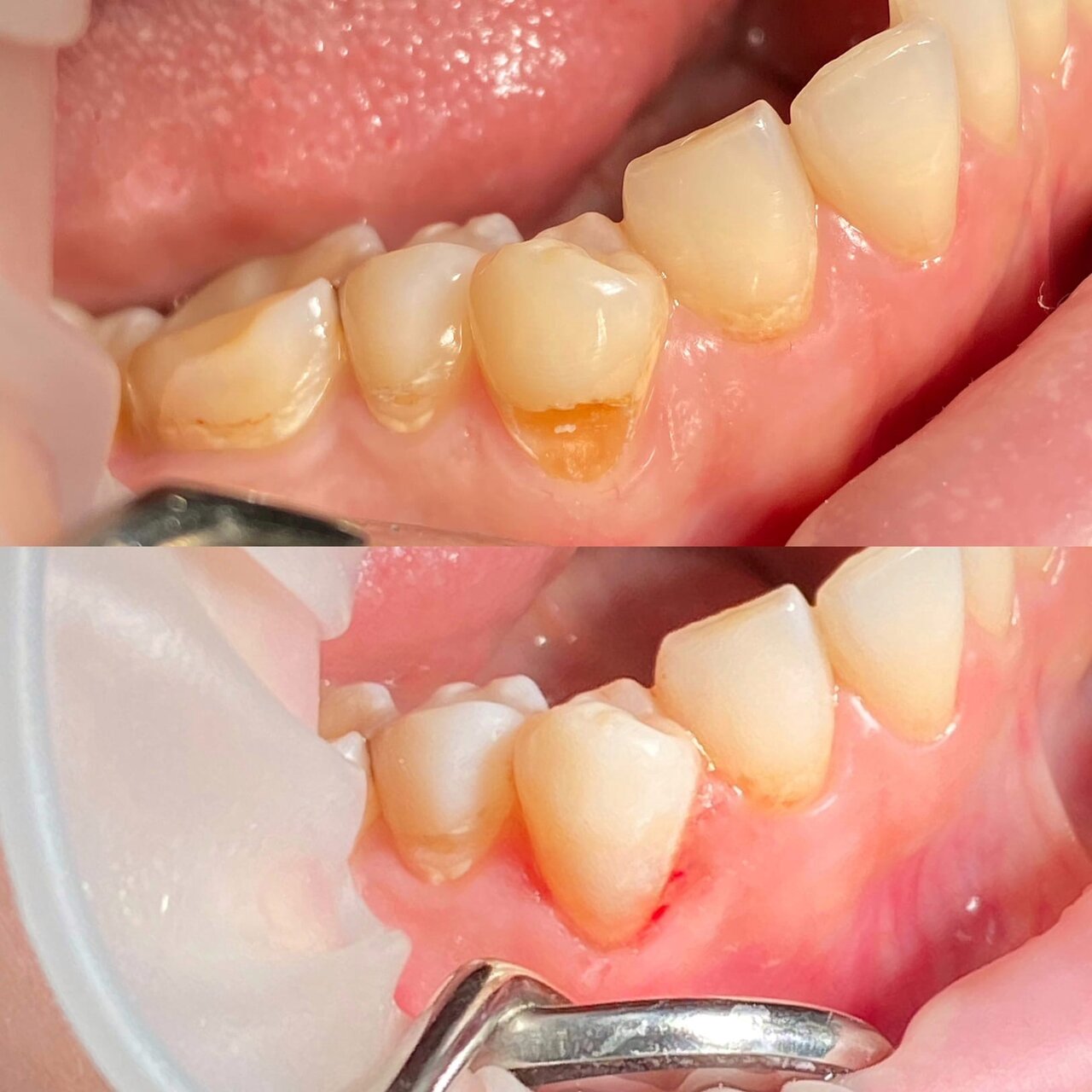
ФэмилиДент охватывает все основные направления стоматологии, включая общую стоматологию, ортодонтию, хирургическую и эстетическую стоматологию, а также детскую стоматологию. Среди услуг клиники — лечение кариеса, удаление зубов, имплантация, протезирование, отбеливание, установка виниров и брекетов, гигиена полости рта, лечение десен и многое другое.
Клиника оснащена современным оборудованием, включая рентгенографию, и предлагает комфортные условия для пациентов, в том числе доступность для людей с ограниченными возможностями, парковку и туалет для инвалидов, детский кабинет и Wi-Fi.
ФэмилиДент предоставляет различные способы оплаты, включая наличные, банковские карты, электронные деньги, рассрочку и безналичный расчет. Также действуют акции, скидки и спецпредложения.
Пациенты могут записаться на прием по телефонам: +7 (993) 472-76-39 (клиника) и +7 (996) 737-84-39 (директор). Подробная информация доступна на сайте: https://familydent163.ru/.
Клиника гарантирует качественное лечение, используя передовые технологии и материалы, а также предлагает бесплатную консультацию и лечение в рассрочку. Врачи клиники — квалифицированные специалисты, включая стоматологов-терапевтов, хирургов, ортопедов и гигиенистов.
Контактная информация как добраться?
- Полный адрес: Самара, Нагорная улица, 133
- Ближайшая станция метро: Безымянка
- Район: Кировский район
- Все телефоны компании: +7 (993) 472-76-39 Клиника | +7 (996) 737-84-39 Директор
- Whatsapp: https://wa.me/79934727639
- Viber: https://viber.click/79934727639
- Сайт: https://familydent163.ru/
- Социальные сети:
Режим работы сегодня
Дополнительные услуги
- Доступность входа на инвалидной коляске
- доступно
- Услуги
- хирургия
- эстетическая стоматология
- эндодонтия
- имплантология
- рентгенография
- ортодонтия
- протезирование
- терапия
- френулопластика
- пломбирование
- удаление зубов
- отбеливание
- лечение кариеса
- виниры и люминиры
- брекеты
- гигиена полости рта
- коронки
Услуги и цены – 5 предложений
Скачать прайс-лист ФэмилиДент на ноябрь 2025 годаАдрес стоматологии на карте
Узнайте, как доехать до стоматологии ФэмилиДент на карте СамарыДостоинства и недостатки из отзывов
- Высокий уровень лечения, чистки и протезирования.
- Быстрое привыкание к протезам.
- Врачи с юмором, помогают преодолеть страх.
- Вежливый и приятный персонал.
- Безболезненное и профессиональное лечение.
- Комфортная атмосфера, снижающая волнение.
- Чистота, антисептики, современное оборудование.
- Лучший детский стоматолог (Егор Игоревич).
- Отличный детский кабинет, довольные дети.
- Внимательность персонала и детальные объяснения.
- Приемлемые цены.
- Щадящий подход к лечению (сохранение зубов).
- Идеальные условия для детей (мультики, подарки).
- Прозрачность в стоимости.
- Хорошее соотношение цены и качества.
- Аккуратная работа (пломбы, протезирование).
- Современные материалы и технологии.
- Доброе и теплое отношение к пациентам.
- Квалифицированные стоматологи.
- Профессионализм и качество работы.

Отзывы о стоматологии ФэмилиДент