Стоматология Центр функциональной стоматологии Профидент, Симферополь
Информация о стоматологии Центр функциональной стоматологии Профидент актуализирована в октябре 2025 года:
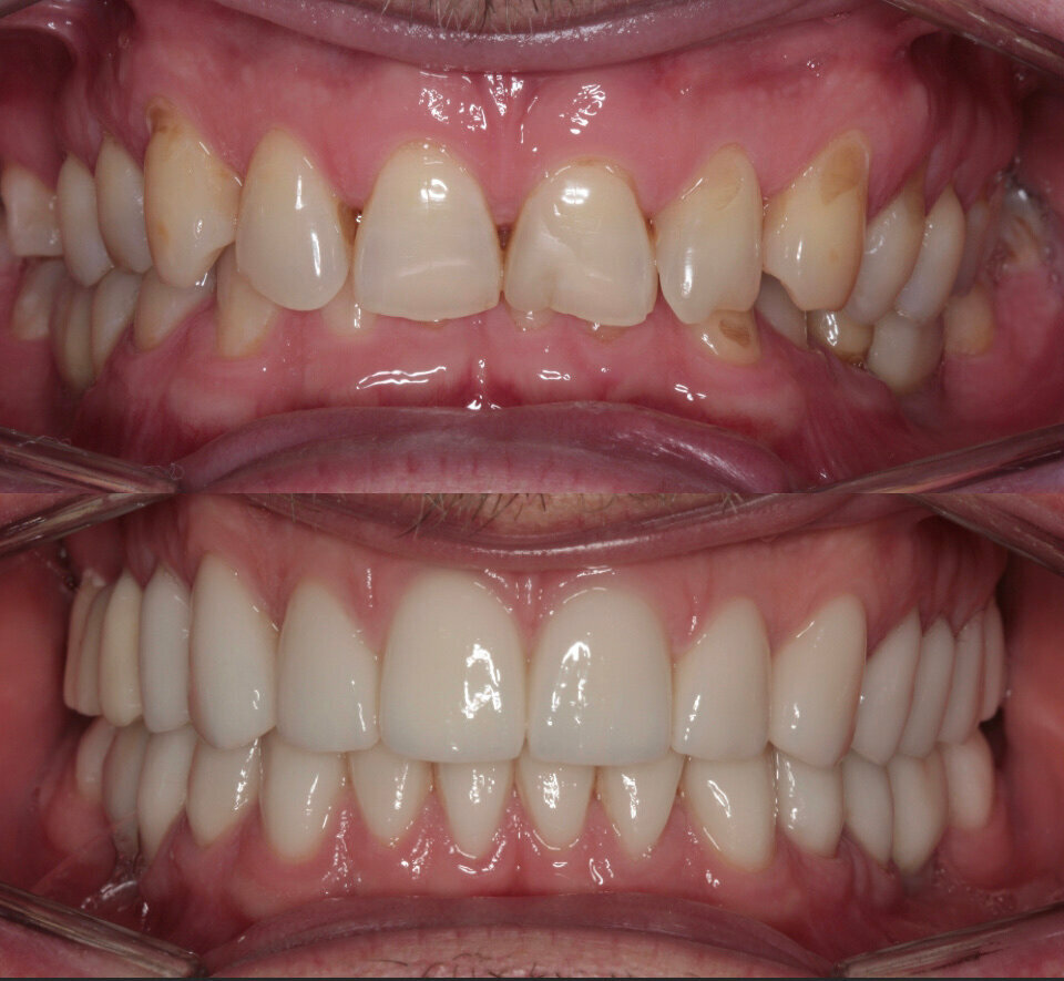
Центр функциональной стоматологии Профидент
- А23.07.002:061 Изготовление эластопозиционера 30000₽
- А16.07.054.008 Установка формирователя десны(для системы Инно,Дентиум,Дио) 4000₽
- А16.07.036.002Протезирование съемными бюгельными протезами с замковой фиксацией (1 челюсть) 85000₽
- А16.07.001.007 Удаление постоянного зуба ( многокорневого сложное) 6000₽
- А22.07.006 Воздействие ультразвуком на область десен( Поддерживающее парадонтологическое лечение) 3000₽
- Все цены (267)
- Безболезненное удаление зубов (в т.ч. зубов мудрости).; Высококлассные специалисты.; Широкий спектр услуг.; Эффективное лечение (без осложнений, отёков).; Хорошее сервисное обслуживание.
- Все плюсы и минусы из отзывов
- Киевская улица, 177В
-
Закрыто до 09:00откроется через 55 мин
Центр оснащен современным оборудованием и использует передовые технологии, включая цифровую стоматологию CAD/CAM, лечение под микроскопом и рентгенографию. Здесь работают квалифицированные специалисты: стоматологи-терапевты, хирурги, ортодонты, имплантологи, пародонтологи и другие.
Основные направления работы: — Терапевтическая стоматология (лечение кариеса, пломбирование, эндодонтия, лечение каналов). — Хирургическая стоматология (удаление зубов, имплантация, костная пластика, лечение кисты). — Ортодонтия (брекеты, элайнеры, исправление прикуса). — Эстетическая стоматология (отбеливание, виниры, люминиры, реставрация зубов). — Протезирование (коронки, ремонт протезов). — Пародонтология (лечение десен, френулопластика). — Гигиена полости рта и профилактика заболеваний.
Клиника предлагает удобные условия для пациентов: — Доступность для маломобильных граждан (пандус, туалет, парковка). — Детский кабинет и услуги для маленьких пациентов. — Возможность оплаты наличными, картой или банковским переводом. — Бесплатные консультации и акционные предложения. — Wi-Fi и велопарковка.
Режим работы: — Пн–Пт: 09:00–19:00 — Сб: 09:00–17:00
Записаться на прием можно по телефону +7 (978) 840-79-07 или на сайте http://www.profident-crimea.ru/. Центр гарантирует качественное и безболезненное лечение, а также индивидуальный подход к каждому пациенту.
Контактная информация как добраться?
- Полный адрес: Республика Крым, Симферополь, Киевская улица, 177В
- Район: Киевский район
- Все телефоны компании: +7 (978) 840-79-07
- Whatsapp: https://wa.me/79788407907
- Viber: https://viber.click/79788407907
- Сайт: http://www.profident-crimea.ru/
- Социальные сети:
Режим работы сегодня
Дополнительные услуги
- Доступность входа на инвалидной коляске
- доступно
- Услуги
- хирургия
- эстетическая стоматология
- эндодонтия
- имплантология
- рентгенография
- ортодонтия
- протезирование
- терапия
- френулопластика
- пломбирование
- удаление зубов
- отбеливание
- лечение кариеса
- виниры и люминиры
- брекеты
- гигиена полости рта
- коронки
Услуги и цены – 267 предложений
Скачать прайс-лист Центр функциональной стоматологии Профидент на октябрь 2025 годаАдрес стоматологии на карте
Узнайте, как доехать до стоматологии Центр функциональной стоматологии Профидент на карте СимферополяДостоинства и недостатки из отзывов
- Эффективное лечение (без осложнений, отёков).
- Приятное отношение к клиентам (угощение, внимание).
- Качественное ортодонтическое лечение (брекеты, исправление прикуса).
- Комфортная и доброжелательная атмосфера.
- Вежливый и доброжелательный персонал.
- Безболезненное удаление зубов (в т.ч. зубов мудрости).
- Широкий спектр услуг.
- Профессиональный подход врачей.
- Высококлассные специалисты.
- Хорошее сервисное обслуживание.
- Некачественная работа (пломба развалилась через полгода).
- Некорректное поведение администратора (язвительность, забывчивость).
- Ошибки в работе (проблемы с коронкой, не закрывающей шейку зуба).
- Долгое ожидание оформления документов
- Непрофессиональные разговоры врачей во время приёма.

Супер клиника! Я лечился у разных докторов, но остановил свой выбор на этой клиники. Вся семья у них лечится, этим докторам мы доверяем, и вот теперь, наконец-то, они все вместе и рядом!
Профессинальные, отличные стоматологи, прекрасный администратор, помещение комфортное, продуманное, но с техником- девушкой по каронкам не сложилось: несмотря на повторное переделывание, коронка (металлокерамика) не прикрывает шейку зуба, да ещё и со щербинкой пришеечной.
Мы обращались к ортодонту Сафроновой А.В. За 2 года сделала идеальные зубы и прикус сыну- брекеттами)) Очень довольная качеством обслуживания. Спасибо Анне Валентиновне!
Отношение к клиентам отличное Специалисты профисионалы по их профилю (парадонтолог) в Крыму большая редкость
Меняла пломбу в этой клинике, сделали все на высшем уровне! Во время лечения зуба врач заговорила так что я забыла что мне сейчас лечат зуб!) спасибо большое за классную работу!) очень рекомендую тем кто боится даже вида стоматолога!
Ставила пломбу в данной клинике. Начала разваливаться через пол года! Спасибо за потраченное время и деньги. Во время приема узнала все беды в жизни врача и ее помощницы. Головная боль обеспечена. Почему я должна была это все выслушивать за свои же деньги останется загадкой навсегда. Еще пол часа сидела и ждала пока они все ошибки исправят и рассчитают меня. Крайне не рекомендую клинику.
Клинику ProfiDent посещаю уже не первый раз.Каждый визит оставляет приятные впечатления . Хотелось бы выразить благодарность в первую очередь администратору клиники за быстрое ,доброжелательное обслуживание ,профессиональный подход. Огромное спасибо моему врачу-ортопеду Тихону Андреевичу. Внимательное отношение к работе ,профессионал своего дела. Работа выполнена безупречно ,моя улыбка сияет!|
За красивой улыбкой только сюда! Администратор прекрасная девушка, всегда поможет и угостит конфетками) Анна Валентиновна просто фея!!!Мастер своего дела! Очень рекомендую эту клинику
Хорошая клиника, которая имеет широкий спектр услуг. Особое внимание хочу выделить на профессиональный подход ортодонта- Сафроновой Анны Валентиновны, а так же безупречного лечебного врача-Андриенко Юлия Станиславовна. Но вишенкой на торте является грамотное сервисное обслуживание, за которое отвечает прекрасная Юлия.
Хочу поделиться своим положительным опытом обращения в клинику ProfiDent. Профессионализм, качество услуг и индивидуальный подход к каждому клиентупоразили меня. Врачи здесь настоящие мастера своего дела, они внимательны к деталям и всегда готовы помочь. Лечение зубов происходит безболезненно. Атмосфера в клинике уютная, персонал вежливый и дружелюбный. Я рекомендую клинику Profident всем, кто ищет надёжное и качественное лечение.
Очень хорошая клиника, бываю не в первый раз. Все врачи очень добры и отзывчивы❤️
Персонал профессиональный, отношение приветливое. Ребенок говорит: всё понравилось, так как небольно! Доволен призом, который получил за лечение своих зубиков!
Отличная многопрофильная клиника с высококлассными специалистами! Являюсь пациентом уже 3 года, несмотря на то, что живу в Севастополе. За это время мне полностью привели все зубы в порядок. Отмечу, что удаление зубов мудрости в данной клинике — это совсем не больно и не страшно, мне за 1 раз удалили 4, и всё хорошо, без осложнений и отёков
В стоматологию Профидент пришла с двумя детьми к ортодонту Анне Валентиновне. Очень грамотный врач, поставили брекеты детям. Всем советую врача и клинику.
Очень хорошее место, персонал очень хороший, лучшее место с настоящими профессионалами. Имеются все удобства, можно посидеть отдохнуть, попить воды и бахилы на в ходе. За два года очень полюбила это место.
Здравствуйте, хорошая клиника 3 год хожу и все нравится хорошие врачи и нормальной обстановка
Всем рекомендую замечательную клинику, Хорошие специалисты, персонал вежливо относиться к клиентам, администратор доброжелательный. Врач Сафронова Анна Валентиновна специалист своего дела, очень внимательная.
Хорошая клиника. Великолепные доктора. Всё без безболезненно. Профессионалы своего дела.
Хорошее место где работают настоящие профессионалы. Старшему выправили зубы, младшей в процессе. Рекомендую.
Отличный центр функциональной стоматологии, профессиональные врачи и дружелюбный персонал
Отличная стоматология, Тихон Андреевич замечательный доктор, отношение к клиентам очень хорошее, девушка на ресепшене супер, всегда угостят конфетами, всем рекомендую
хорошая клиника приятные доктора хорошее отношение к клиентам качество лечения отличное много раз удаляли зубы все отлично! хороший персонал клиника нравится назначили хорошее лечение, помогает
Не доктора, а просто наживатели на чужой боли. Попросила приклеить ретейнер на 1 зубе, отклеился и очень болел язык, сказали меняем только полностью, хоть и установлен был 1нелелю назад. Ремонт 800₽ а замена 9500₽-почувствуйте разницу.
Ровняем зубы у Сафроновой Анны. Все нравится, зубки становятся ровнее. Атмосфера комфортная и доброжелательная
Врачи супер, очень довольна! Тактичны, четко выполняют свою работу, всегда приветливы! Но вот касаемо администратора, то тут проблема( Нетактична, язвит, может забыть что-то напомнить. Когда звонишь в клинику никогда не говорит куда попали, просто: «алло/слушаю, здравствуйте» считаю это не профессиональным