Стоматология Dental Hall, Стерлитамак
Информация о стоматологии Dental Hall актуализирована в ноябре 2025 года:
Dental Hall
- Все на 4х. Цена от 200500₽
 - Имплантация Южная Корея. Цена от 19990₽
 - Лечение кариеса. Цена от 3933₽
 - Консультация + КТ снимок зубов 1₽
 - Всё на 6. Цена от 309125₽
 - Все цены (6)
 
- Современное оборудование.; Долгосрочные и качественные результаты (например, протезирование).; Удаление сложных зубов без последующих болей.; Качественные материалы (например, коронки из диоксида циркония).; Безболезненные процедуры.
 - Все плюсы и минусы из отзывов
 
- улица Мира, 12
 -  
				 
  Открыто до 21:00до закрытия 9 ч 7 мин
 
В Dental Hall работают квалифицированные специалисты: стоматологи-терапевты, хирурги, ортодонты, имплантологи и гигиенисты. Клиника оснащена передовым оборудованием, включая компьютерную томографию и цифровую рентгенографию, что позволяет проводить точную диагностику и эффективное лечение.
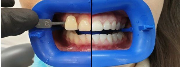
Среди дополнительных услуг: отбеливание, установка виниров и люминиров, лечение кариеса, пломбирование, френулопластика, гигиена полости рта и удаление зубов. Для удобства пациентов доступны различные способы оплаты, включая наличные, банковские карты, онлайн-оплату, рассрочку и кредитование.
Dental Hall работает ежедневно с 09:00 до 21:00. Контакты: телефон +7 (927) 337-30-33, сайт http://m.dentalhall-str.ru/. В клинике действуют акции, скидки для льготных категорий, подарочные сертификаты и бесплатные консультации.
Ограничения: вход для инвалидных колясок недоступен. Удобства: парковка, Wi-Fi. Гарантия на услуги — от 800 ₽. Данные клиники подтверждены Росздравнадзором.
Контактная информация как добраться?
- Полный адрес: Республика Башкортостан, Стерлитамак, улица Мира, 12
 - Все телефоны компании: +7 (927) 337-30-33
 - Whatsapp: https://wa.me/79273373033
 - Сайт: http://m.dentalhall-str.ru/
 - Социальные сети:
 
Режим работы сегодня
Дополнительные услуги
- Доступность входа на инвалидной коляске
- недоступно
 
 - Услуги
- хирургия
 - эстетическая стоматология
 - эндодонтия
 - имплантология
 - рентгенография
 - ортодонтия
 - протезирование
 - терапия
 - френулопластика
 - пломбирование
 - удаление зубов
 - отбеливание
 - лечение кариеса
 - виниры и люминиры
 - брекеты
 - гигиена полости рта
 - коронки
 
 
Услуги и цены – 6 предложений
Скачать прайс-лист Dental Hall на ноябрь 2025 годаАдрес стоматологии на карте
Узнайте, как доехать до стоматологии Dental Hall на карте СтерлитамакаДостоинства и недостатки из отзывов
- Приятная атмосфера и забота о пациентах.
 - Долгосрочные и качественные результаты (например, протезирование).
 - Современное оборудование.
 - Грамотные и чуткие специалисты.
 - Оперативная работа врачей.
 - Качественные материалы (например, коронки из диоксида циркония).
 - Удаление сложных зубов без последующих болей.
 - Чистка зубов без неприятных ощущений.
 - Бесплатный осмотр и профессиональные рекомендации.
 - Быстрое и профессиональное лечение.
 - Доступные цены на услуги.
 - Сохранение зубов без удаления нервов.
 - Безболезненные процедуры.
 - Возможность рассрочки.
 - Вежливый и молодой персонал.
 
- Сомнительное качество услуг (по мнению некоторых пациентов).
 - Долгие консультации с запугиванием о состоянии зубов.
 - Завышенные цены по сравнению с другими клиниками.
 - Среднее отношение к клиентам.
 - Врачи могут быть неопытными (по отзывам)
 - Заполнение множества анкет.
 - Неинформированность о конечной стоимости лечения.
 - Навязчивое предложение кредитов и рассрочки.
 - Навязчивый и агрессивный маркетинг.
 - Персонал не запоминает причину визита.
 

Очень улыбчивый и вежливый персонал . Врач Гигам Нверович Врач с большой Буквы ,рекомендую
У дочери заболел зуб. Приехали в эту клинику, нас начали водить по кабинетам, как я потом поняла, у них там большая вводная часть и до того как тебя врач посмотрит нужно выслушать целую лекцию про их клинику. Наконец мы к врачу попали, он нас осмотрел и насчитал нам лечение кариеса 1 детского зуба 5700 р. Причем лечить опять же другой врач будет. Просто закружили нас по кабинетам. Меня такая цена за несложный зуб не устроила. Вечером обратились в детскую зубную поликлинику, где нам врач сказала, что это не зуб болит и кариеса там нет, а десна воспалилась! Вот и делайте выводы о компетенции врачей данной клиники! Руководство думает на одних улыбках девушек на ресепшене доверие клиентов завоевывать? Ничего кроме этого в клинике,пожалуй, не умеют!! Вот мое мнение. А про стоимость я вообще молчу! Расковыряли бы нам сейчас здоровый коренной зуб на ровном месте, безобразие!!
Была на чистке зубов у Яруллиной Альфины Хайдаровны. Я просто в восторге. Очень качественно и аккуратно.
Не советую данную клинику никому. Главная цель данной клиники не лечение зубов, а заключение кредитного договора на лечение зубов. Первым делом консультируют очень долго, делают снимки, запугивают что зубы в очень ужасном состоянии, и не говоря окончательной суммы предлагают заключить договор. По сравнению с другими клиниками Стерлитамака очень цены завышены. Лечение одного зуба насчитали на 19000. В итоге пролечила в другой клинике за 3000.
Один из лучших в городе. Персонал молодой, вежливый. Самое современное оборудование и материал. Я просто засыпаю во время лечения.
Хочу поблагодарить работников клиники за отличное оказание медецинский услуг! Здесь работают грамотные специалисты, что редкость в наше время! Буду рад обратитесь еще раз к ним!
Сомневаюсь в квалифицированности специалистов, оставили 1 не вылеченный зуб. Ни один раз жаловались на боль , в итоге врачи не заметили опухоль языка, хотя при болях первым делом обнаруживают ее именно СТОМАТОЛОГИ , лечили зубы 3 месяца и каждый раз жаловались на боль, но ничего никто не замечал или просто не хотели замечать ( тк мы думали , что боль именно из за зуба, но нет) ЗА ТАКИЕ ДЕНЬГИ !!! Очень плохо, не советую
Услугами по протезированию остался доволен, недешево но очень качественно, это главное
Сменила уже несколько стоматологов-ортопедов, но с протезированием все как-то не везло. Только в Dental Hall поставили зубные коронки так, что без проблем теперь жую твердую пищу, да и вообще забыла, что они у меня неродные. Все благодаря современной технике и конечно, врачу профессионалу.
Постоянно мучает пульпит. Понравилось. что быстро устранили и объяснили как его предотвратить, хоть это и не всегда возможно
делала здесь чистку по рекомендации, осталось довольна, доктор приятный, все сделал быстро и практически без неприятных ощущений.
Не хватает опыта сотрудникам , но стараются,. Комфортно, персонал вежливый, время ожидания минимальное, по записи. Но изготовления протезов оставляет желать лучшего
Единственный минус это заполнение анкет, а их предлагают по 3 бланка. Цены космические, ассистенты предлагают естественно рассрочку. Отношение к клиентам среднее, так как при заполнении анкеты не запоминают зачем клиент пришёл и спрашивают ещё раз; время ожидания — практически сразу принимают.
Навязывают кредиты на баснословную сумму, навязчивый персонал, сомнительное качество услуг. Зубы это серьезно, но врачей понабрали….в общем, не рекомендую!
Обратилась в стоматологию для удаления зуба мудрости. Безболезненно, все быстро и недорого. Очень довольна качеством услуг и отношением коллектива. Всем советую!
В стоматологии работают профессионалы своего дела. Пришла с острой болью, зуб удалось сохранить, сделали все качественно и оперативно. Спасибо
Хочу выразить благодарность клинике Дентал. Удаляли ‘зуб мудрости’, зуб оказался очень трудным, сделал всё очень профессионально и после удаления ничего у меня не болело. Большое спасибо!
Спасибо, что приняли) У подруги в гостях отломила зуб каким то образом( Оперативно сработали, врачами осталась довольна
Всем добрый день! Обратился в стоматологию с острой болью в зубе. Благо меня сразу приняли, и помогли. Квалифицированные врачи и персонал, спасибо!
Для себя сделала приятное открытие — клиника стоматологии Dental Hall. Здесь уютно и очень приветливый персонал. На первичный осмотр и консультацию меня направили к обаятельной Кристине Олеговне Власовой. А затем со мной работали врачи Ведерникова Анастасия Сергеевна и Низамова Диана Рафилевна вместе с медсестрой (к сожалению имя ее не узнала), у которых золотые руки и доброе сердце. В общем всем я осталась очень довольна, спасибо большое за ваш труд. Однозначно всем рекомендую.
Делала в клинике профгигиену. Камень убрали эффективно, зубки чистые теперь. Процедура безболезненная.
Отличная стоматология, могу смело порекомендовать. Спасли здесь два зуба. И по деньгам вышло недорого.
Врач этой клиники провел бесплатный осмотр моих зубов. Предложил подходящее решение вопроса по протезированию зубного ряда. Цена получилась вполне доступной. Я согласилась. В итоге теперь у меня стоят качественные коронки из диоксида циркония. По цвету не отличаются от родных зубов.Очень довольна.
В этой клинике персонал хорошо обучен и вежлев,я делал отбеливание зубов.Доктор все рассказал о моих зубах и обяьснил,мои зубы стали на несколько тонов белее. Спасибо большое!
Стоматолога рекомендую, идеально провел чистку зубов. Не было неприятных ощущений
У меня вылетела пломба и чтобы не затягивать я начал искать клиник. Прошел не одну консультацию и везде меня приговаривали к удалению нервов. Я обратился в Дентал Холл и мне очень сильно повезло что есть такие профессионалы как Ахмеджонов Умеджон Рашидович. Это врач настоящий волшебник он вылечил мне зуб без всяких удалений нервов, боли и не приятных ощущений. Теперь у меня живой здоровый зуб я очень Вам благодарен за ваш труд и чуткое внимание!
Полностью привела в порядок свои зубы здесь. Никаких вопросов- всё супер!
Делал в этой клинике полностью челюсть, доволен на 100% Это был долгий путь в полгода, и теперь я сверкаю улыбкой, а зубы не отличишь от настоящих! Особенно хочу поблагодарить команду клиники: Аскарову Альфию, Хохрякова Сергея Владимировича, Мамедова Марифа, Владимирова Максима, Низамову Диану. Когда приходишь в клинику, с порога ощущаешь заботу и расслабляешься, вверяя себя в руки профессионалов. Спасибо большое! Всем знакомым буду рекомендовать клинику Dental Hall Стерлитамак.