Стоматология Династия, Стерлитамак
Информация о стоматологии Династия актуализирована в ноябре 2025 года:
Династия
- Наложение временной пломбы 1₽
 - Открытый кюретаж при заболеваниях пародонта в области 1-го зуба 1₽
 - Восстановление зуба пломбой IV класс по Блэку с использованием стеклоиномерных цементов 1₽
 - Внутрикостная дентальная имплантация: извлечение дезинтегрированного имплантата 1₽
 - Пломбирование корневого канала зуба пастой (3 канала) 1₽
 - Все цены (42)
 
- Удобная и комфортная обстановка (телевизор, диваны, детская зона).; Безболезненные процедуры.; Внимательное отношение к пациентам, в том числе детям.; Напоминание о записи.; Профессиональные и приветливые врачи.
 - Все плюсы и минусы из отзывов
 
- улица Артёма, 116А
 -  
				 
  Открыто до 20:00до закрытия 8 ч 7 мин
 
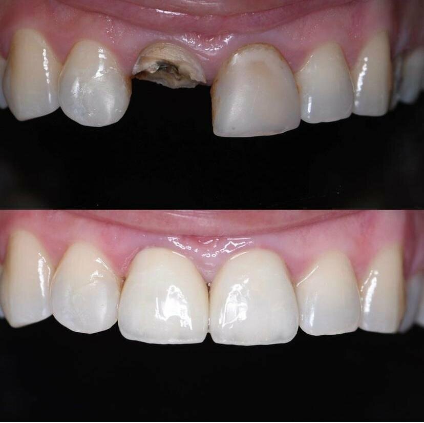
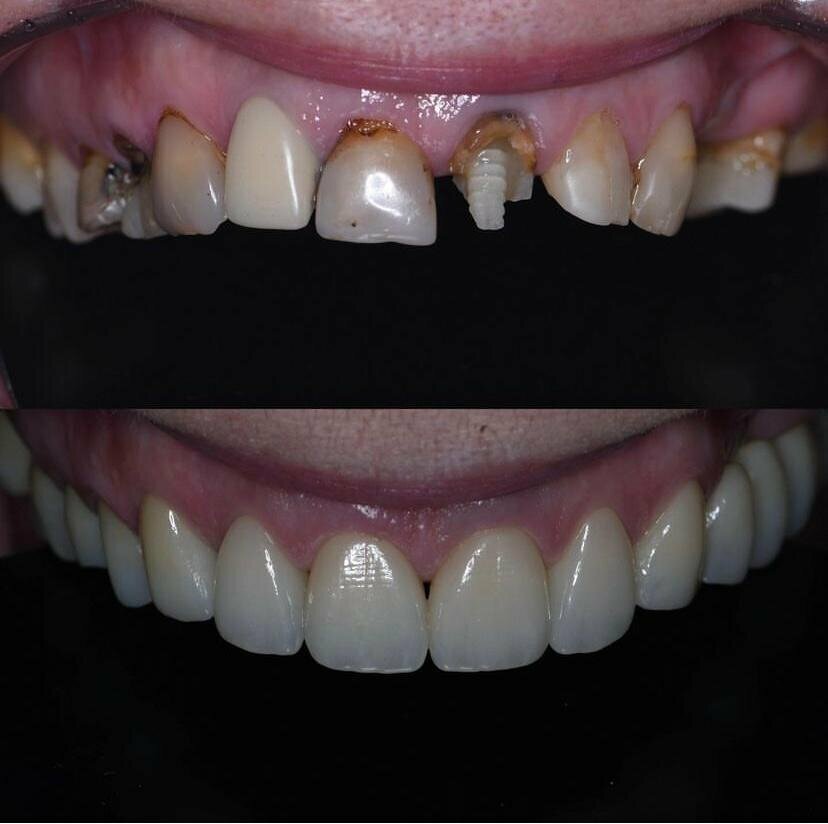
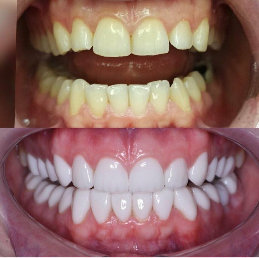
Основные направления работы включают общую стоматологию, ортодонтию, хирургическую и эстетическую стоматологию, а также детскую стоматологию. Среди дополнительных услуг доступны имплантация, протезирование, лечение кариеса, отбеливание, установка виниров и люминиров, гигиена полости рта, костная пластика и челюстно-лицевая хирургия. В клинике работают квалифицированные специалисты: стоматологи-терапевты, хирурги, ортопеды, имплантологи и зубные техники.
Для удобства пациентов предусмотрена предварительная запись, оплата картой, подарочные сертификаты, Wi-Fi и пандус. Клиника оснащена современным оборудованием, включая рентгенографию, что позволяет проводить точную диагностику и эффективное лечение. Гарантия на услуги и доступные цены, включая услуги от 200 ₽, делают «Династию» привлекательным выбором для заботы о здоровье улыбки.
Подробная информация доступна на официальном сайте: https://dinastiya-klinika-sovremennoj-stomatologii.ru/. Контактные телефоны: +7 (3473) 33-48-61, +7 (987) 626-63-32. Клиника соответствует требованиям Росздравнадзора, обеспечивая безопасность и качество медицинских услуг.
Контактная информация как добраться?
- Полный адрес: Республика Башкортостан, Стерлитамак, улица Артёма, 116А
 - Все телефоны компании: +7 (3473) 33-48-61 | +7 (987) 626-63-32
 - Сайт: https://dinastiya-klinika-sovremennoj-stomatologii.ru/
 - Социальные сети:
 
Режим работы сегодня
Дополнительные услуги
- Услуги
- хирургия
 - эстетическая стоматология
 - эндодонтия
 - имплантология
 - рентгенография
 - челюстно-лицевая хирургия
 - протезирование
 - терапия
 - пломбирование
 - удаление зубов
 - отбеливание
 - лечение кариеса
 - виниры и люминиры
 - гигиена полости рта
 - коронки
 - лечение дёсен
 - лечение каналов
 - костная пластика
 - лечение периодонтита
 
 
Услуги и цены – 42 предложений
Скачать прайс-лист Династия на ноябрь 2025 годаАдрес стоматологии на карте
Узнайте, как доехать до стоматологии Династия на карте СтерлитамакаДостоинства и недостатки из отзывов
- Качественное лечение зубов.
 - Удобная и комфортная обстановка (телевизор, диваны, детская зона).
 - Хорошие хирурги (удаление зубов, имплантация).
 - Вежливый и тактичный персонал.
 - Современное оснащение клиники.
 - Безболезненные процедуры.
 - Внимательное отношение к пациентам, в том числе детям.
 - Бесплатные консультации и подробные планы лечения.
 - Возможность экстренного приема.
 - Напоминание о записи.
 - Профессиональные и приветливые врачи.
 - Удобный и современный рентген.
 
- Долгая запись (иногда за несколько недель).
 - Завышенные цены и некорректные счета.
 - Отказ в лечении в экстренных случаях.
 - Переносы записей.
 - Недовольство качеством некоторых процедур (откол пломбы).
 - Ощущение "обдирания" клиентов
 - Врачебные ошибки (лечение не того зуба).
 - Невозможность срочного приема.
 

Очень понравилась Стоматология. Отлично и удобно делают рентген дальных зубов. Хорошее лечение, качественное. Хирург отлично удалил зуб мудрости. Красиво, просторно. Можно смотреть телевизор во время лечения. Быстрая запись.
Попала в клинику по рекомендации подруги. Врач Файзуллина Н. осуществила давнюю мечту, провела реставрацию передних зубов. Я предполагала увидеть хороший результат, но конечный результат превзошел все мои ожидания. Я в полном восторге!!! Огромная благодарность врачу и прекланяюсь перед профессионализмом и мастерством!! Раньше стеснялась рот открывать, все время прикрывала рукой, а теперь улыбаюсь своей голивудской улыбкой!!! В самой клинике чисто, уютно, обстановка не напрягает, персонал очень доброжелательный. Всем рекомендую!!!
Профессиональные врачи. Лечат зубы качественно. Приветливый персонал. Не раз лечила в данной клинике зубки. И очень довольна результатом. Однако последний прием достаточно огорчил. У одного зуба отлетел небольшой осколок. Требовалось его ‘нарастить’. На приеме врач зуб сбоку немного просверлил и наложил пломбу. Всего процедура длилась меньше 15 мин. Когда пошла оплачивать услугу, цена вышла гораздо больше ожидаемой — почти 2500 руб. Попросила счет-квитанцию, посмотрела что мне выставили счет как за лечение СЛОЖНОГО (даже НЕ СРЕДНЕГО!) кариеса. Это при том, что кариеса вообще на зубе не было!!! Я не стала ругаться, и молча оплатила. Хотя следовало бы… И так в данной клинике расценки дорогие. Так еще идет и ‘обдирание’ клиентов. Поэтому, уважаемый персонал, просим, нет требуем корректно выставлять счет за оказанные услуги!!!
Ну как сказать, норм так то, обслуживание, персонал, уровень как в цивилизованных странах, консультация бесплатно! Один раз из-за них потерял зуб пришлось выдернуть и поставить имплант, в другом месте. Но пойди разберись кто виноват был, они сделали что могли или не всё, впринципр я не понимаю кто прав кто виноват. Сейчас в моем возврате могу вам сказать, не стоит просить у врачей здоровье как вам надо. Они делают что могут. Бережённого бог бережёт. Зубная нить вам в помощь, недавно только осознал!
Хорошие специалисты, приятная атмосфера. Детский врач очень чёткая, аккуратная. Рекомендую к посещению среди прочих клиник.
Была там 2 раза. В 1 раз все прошло, не очень гладко, записалась за 1 месяц, так как по времени надо было уложиться, так — перенесли. 2 раз ,врачи, почти не тот зуб собиралась лечить, думала о своём… а ,то, что у клиента- не думала. Больше не пойду туда.
Все хорошо. Частенько бывала на лечение. Запись за две недели не очень удобно. Срочно принять не могут, всегда нужно ждать записи. А так в лечении не плохо
Я постоянный посетитель клиники’Династия’! Лечение начала почти полгода назад. Лечащий врач-Рушания Мунавировна-отличный специалист! Врач-Ортодонт Тимур Шавкатович-провел бесплатную консультацию и подробно расписал план лечения. Сфотографировал,показал и рассказал,что и как лечить!Врач-хирург Азат Ришатович- провел мне 2 операции по имплантации зубов и удаление ,в т.ч зуба мудрости.Профессионал в своей области! Девушки-администраторы внимательны,предупредительны,тактичны. В клинике есть диван для ожидания,телевизор, туалет, бойлер с водой,детский столик с карандашами,шкафчик с игрушками. Так же в этой клинике есть отдельный кабинет где работают детские врачи-стоматологи. Двое моих детей проходили лечение,вернее удаление и фторирование. Остались довольны.
Подход к ребенку, обращение – все понравилось! И врач, и медсестра нашли с малышом общий язык, и он поддался лечению легко и просто. Ребенку включили телевизор, надели на него очки, ему было интересно, а также подарили подарки!
Врач и медсестра приветливые, все хорошо. Дочке сделали санацию двух зубов, и ей все понравилось, процедуры прошли без осложнений. Доктор очень внимательная, ознакомилась со всей историей наших обращений.
Отличная клиника, приветливые регистраторы, о приёме напоминают. Место востребованное, записываться лучше заранее. Однако, если случай экстренный — стараются помочь с окошком в расписании.
Хорошая клиника, свою дочь вожу только сюда, цены соответствуют качеству оказанных услуг, вежливый персонал, профессиональные специалисты.
Выражаю огромную благодарность Пышкиной Татьяна Сергеевне! Профессионал своего дела, доброжелательно относится к своим маленьким пациентам, сын очень боится стоматологов,но Татьяна Сергеевна нашла к нему подход, лечение было успешным. Процветания и благодарных пациентов клинике ‘Династия’
Моя любимая стоматология! Все врачи, кто со мной работал, профи своего дела
Хочу искренне поблагодарить Тимура Шавкатовича за понимание,отзывчивость и за стремление оказать помощь Это талантливый врач от Бога с золотыми руками.
Хочу поблагодарить прекрасного врача Юнусову Н.Н. , очень качественно вылечила глубокий кариес на сложном участке зуба. Посоветовала что именно нужно в дальнейшем лечение. Спасибо огромное, я приду к вам снова ❤️
Династия рулит! Всем рекомендую.Очень внимательное отношение к пациентам.Тимур Шафкатович грамотный специалист , все к нему. Спасибо таким врачам.
Это не стоматология это отстой, ждали четыри дня запись с острой болью пришли на прием. И что в итоге врач не стала лечить, отправила в другую стоматологию , это говорит о не профессионализме , закройте свою богадельню, больше пафоса и ни чего большего
Я попала к отличному врачу — Хамзиной, думаю что это было лучшим моим лечением зубов, всем рекомендую ходить именно к ней!!!
Обратилась будучи беременной по поводу удаления зуба, вернее корней от зуба) никаких щипцов, никакой боли ни во время операции, ни после. Все прошло идеально, без осложнений и боли. Несмотря на молодой возраст доктор Файзуллин Дамир Амирович очень компетентный, прекрасно знает свою работу. Очень тактичный, вежливый, приветливый, с юмором. Вместе со своей медсестрой отличный тандем. Обстановка доброжелательная! Сама клиника оснащена современной техникой и всеми необходимыми материалами. Всем рекомендую!