Стоматология Бест-Стом, Томск
Информация о стоматологии Бест-Стом актуализирована в ноябре 2025 года:
Бест-Стом
- Тотальная реконструкция улыбки 300000₽
- Удаление зубов 1500₽
- Лечение кариеса под микроскопом 6500₽
- Керамические виниры E-max 22000₽
- Профессиональная комплексная чистка зубов 4300₽
- Все цены (7)
- Индивидуальный подход и забота о пациентах.; Адекватные цены.; Срочная и качественная помощь.; Безболезненная имплантация.; Профессионализм специалистов.
- Все плюсы и минусы из отзывов
- улица Кузнечный Взвоз, 14
-
Открыто до 20:00до закрытия 8 мин
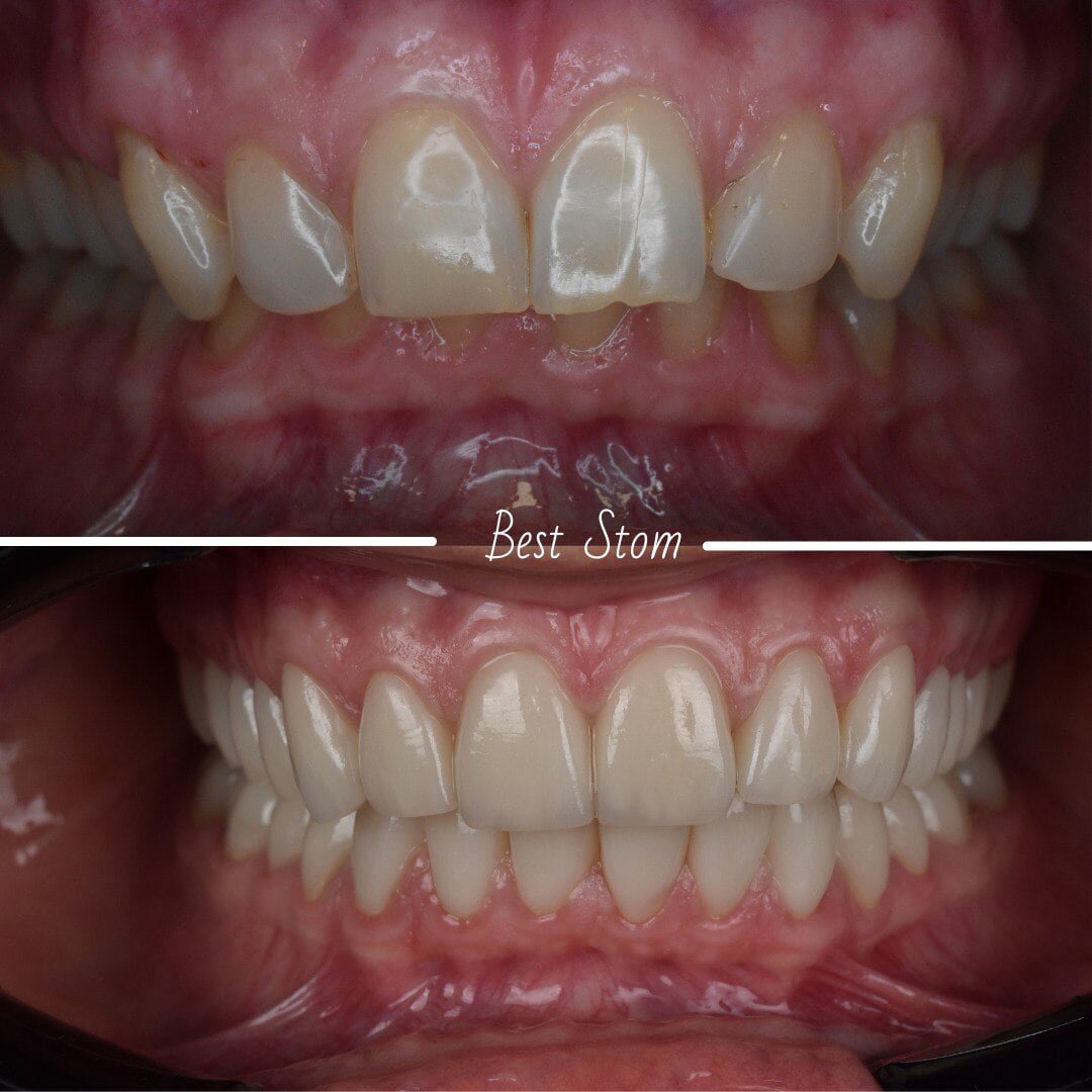
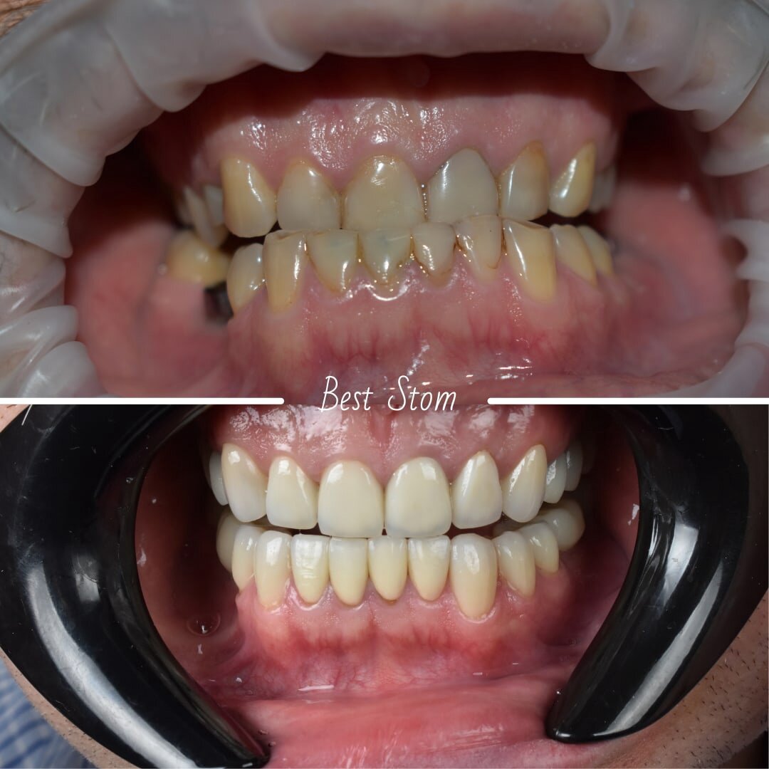
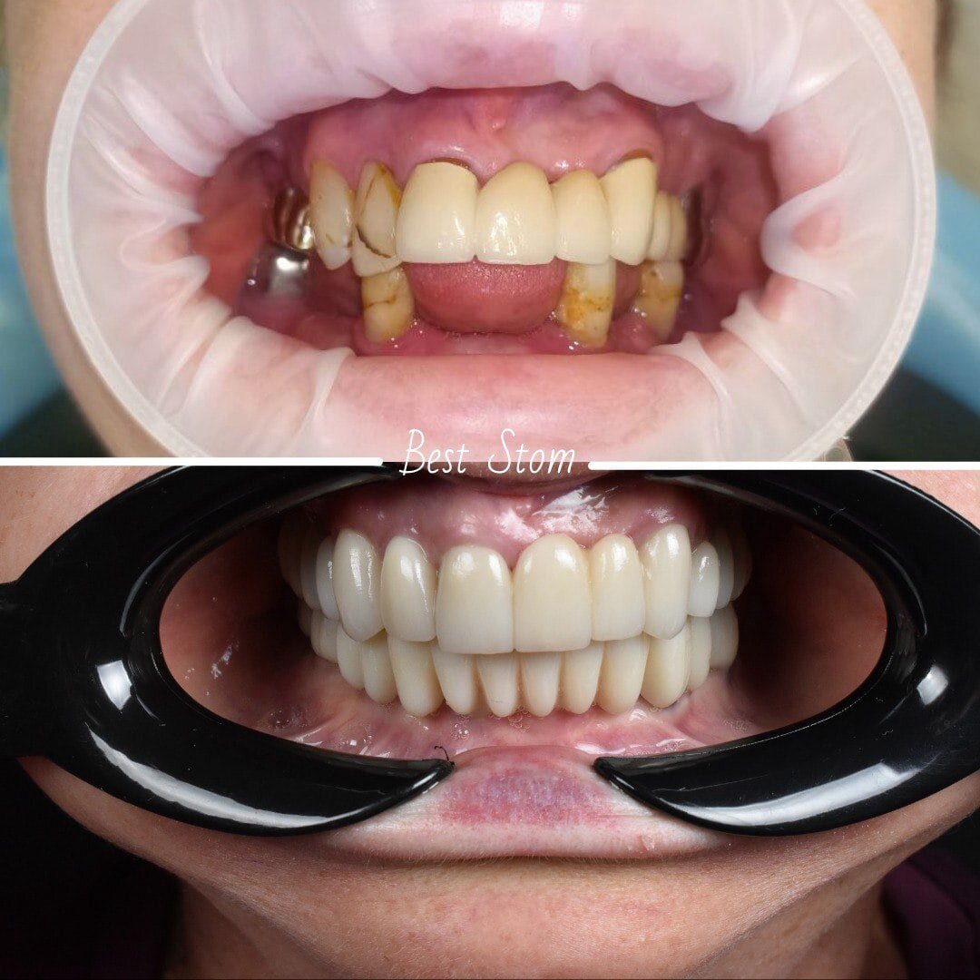
Бест-Стом специализируется на различных направлениях стоматологии, включая терапию, хирургию, эстетическую стоматологию, имплантологию, ортодонтию и протезирование. В клинике проводятся такие процедуры, как лечение кариеса, пломбирование, удаление зубов, установка виниров и люминиров, отбеливание, гигиена полости рта, лечение десен и корневых каналов. Также доступны сложные методы диагностики, включая рентгенографию и компьютерную томографию.
Для пациентов, нуждающихся в восстановлении зубов, предлагаются услуги имплантации, костной пластики, реставрации зубов и протезирования с использованием современных технологий, включая цифровую стоматологию CAD/CAM. Ортодонтическое лечение проводится с применением брекетов и элайнеров.
Клиника оснащена современным оборудованием, что обеспечивает комфортное и безболезненное лечение. Однако вход для инвалидных колясок недоступен. В Бест-Стом работают квалифицированные специалисты: стоматологи-терапевты, хирурги, имплантологи, гигиенисты, ортопеды, гнатологи и зубные техники.
Пациенты могут оплатить услуги наличными, банковской картой, через QR-код, безналичным переводом или оформить рассрочку и кредит. В клинике действуют акции и скидки, а также доступны подарочные сертификаты. Для удобства посетителей предусмотрена парковка и бесплатный Wi-Fi.
Бест-Стом гарантирует качественное лечение и заботится о здоровье и эстетике улыбки своих пациентов.
Контактная информация как добраться?
- Полный адрес: Томск, улица Кузнечный Взвоз, 14
- Район: Октябрьский район
- Микрорайон: исторический район Воскресенская Гора
- Все телефоны компании: +7 (913) 850-05-75
- Whatsapp: https://wa.me/79138500575
- Сайт: https://beststom70.ru/
- Социальные сети:
Режим работы сегодня
Дополнительные услуги
- Доступность входа на инвалидной коляске
- недоступно
- Услуги
- хирургия
- эстетическая стоматология
- эндодонтия
- имплантология
- рентгенография
- протезирование
- терапия
- пломбирование
- удаление зубов
- лечение кариеса
- виниры и люминиры
- гигиена полости рта
- коронки
- лечение дёсен
- лечение каналов
- компьютерная томография
- костная пластика
Услуги и цены – 7 предложений
Скачать прайс-лист Бест-Стом на ноябрь 2025 годаАдрес стоматологии на карте
Узнайте, как доехать до стоматологии Бест-Стом на карте ТомскаДостоинства и недостатки из отзывов
- Индивидуальный подход и забота о пациентах.
- Быстрое и безболезненное лечение.
- Вежливые и квалифицированные врачи.
- Безболезненная имплантация.
- Профессионализм специалистов.
- Хорошие люди в коллективе.
- Отзывчивые сотрудники.
- Адекватные цены.
- Срочная и качественная помощь.
- Хорошее оборудование клиники.

Учусь в Автотехе! Всё супер и предподователь по теории и инструктор по вождению!
За 1 день жизнь превратилась в АД. Была невыносимая зубная боль. Огромное спасибо за срочную и качественную помощь! Теперь жизнь прекрасна!
Отличная клиника. Самые адекватные цены в городе. Сделали все очень быстро и не больно)))
Пользуюсь услугами данной клиники и другого мне не нужно. Профессионализм, индивидуальный подход и главное — хорошие люди
Вежливые и квалифицированные специалисты, сама стоматология хорошо оборудована, поэтому рекомендую посещать при необходимости.
Отличная клиника! Индивидуальный подход и забота о пациентах. Услугой довольна. Вежливые врачи, все делают аккуратно.
Я долго мучился с проблемами зубов, пока не нашел эту стоматологическую клинику. На консультации объяснили, что спасать уже нечего. Имплантация прошла гладко и безболезненно, спасибо хирургу Казаряну А. Г. Очень приятно, что все сотрудники отзывчивые.