Стоматология Золотое сечение, Уфа
Информация о стоматологии Золотое сечение актуализирована в ноябре 2025 года:
Золотое сечение
- Установка элайнеров 6000₽
 - Лечение кариеса 4500₽
 - Установка брекет-системы 30000₽
 - Лазерная диагностика кариеса Diagnocam 500₽
 - Установка коронки 5000₽
 - Все цены (10)
 
- Внимательное и доброжелательное отношение к пациентам.; Комфортные условия на приемах.; Уютная атмосфера и современный интерьер.; Приветливый и веселый персонал.; Профессионализм врачей (Зульфия Ильшатовна, Юлия Игоревна, Айсина Ильшатовна, Шарафутдинова Г.Х.).
 - Все плюсы и минусы из отзывов
 
- микрорайон Южный, улица Загира Исмагилова, 18
 -  
				 
  Открыто до 21:00до закрытия 7 ч 53 мин
 
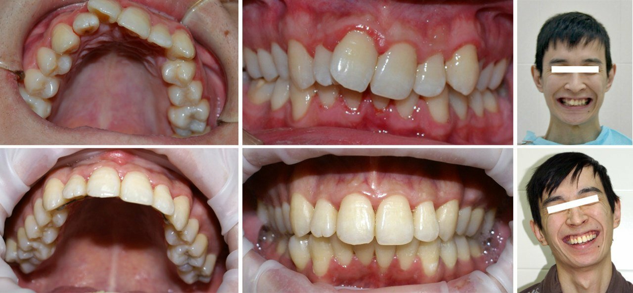
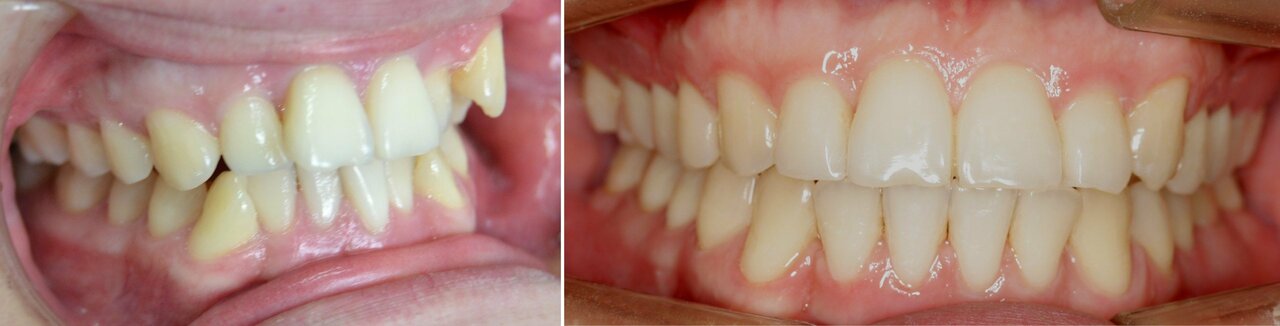
Основные направления работы включают общую стоматологию, ортодонтию, хирургическую и эстетическую стоматологию, а также детскую стоматологию. Среди услуг доступны лечение кариеса, пломбирование, удаление зубов, имплантация, протезирование, установка виниров и брекетов, отбеливание, гигиена полости рта и лазерная стоматология. В клинике работают квалифицированные специалисты: стоматологи-терапевты, хирурги, ортодонты, имплантологи, пародонтологи и другие.
Стоматология оснащена современным оборудованием, включая рентгенографию, что позволяет проводить точную диагностику и эффективное лечение. Для пациентов доступны различные способы оплаты: наличные, банковские карты, безналичный расчет. В клинике есть парковка, в том числе для людей с инвалидностью, однако вход на инвалидной коляске недоступен.
Режим работы: с понедельника по пятницу с 09:00 до 21:00, в субботу с 09:00 до 15:00. Запись на прием возможна по телефонам: +7 (917) 446-20-50 и +7 (901) 810-94-74. Подробная информация представлена на официальном сайте: https://sovremennoj-ortodontii-zolotoe-sechenie-med.obiz.ru/.
«Золотое сечение» сочетает высокий уровень медицинского обслуживания с комфортными условиями для пациентов, помогая сохранить здоровье зубов и создать красивую улыбку.
Контактная информация как добраться?
- Полный адрес: Республика Башкортостан, Уфа, микрорайон Южный, улица Загира Исмагилова, 18
 - Район: Кировский район
 - Микрорайон: микрорайон Южный-2
 - Все телефоны компании: +7 (917) 446-20-50 | +7 (901) 810-94-74
 - Сайт: https://sovremennoj-ortodontii-zolotoe-sechenie-med.obiz.ru/
 - Социальные сети:
 
Режим работы сегодня
Дополнительные услуги
- Доступность входа на инвалидной коляске
- недоступно
 
 - Услуги
- хирургия
 - эстетическая стоматология
 - имплантология
 - рентгенография
 - ортодонтия
 - протезирование
 - терапия
 - пломбирование
 - удаление зубов
 - лечение кариеса
 - виниры и люминиры
 - брекеты
 - гигиена полости рта
 - коронки
 - элайнеры
 - лазерная стоматология
 - ортопедия
 
 
Услуги и цены – 10 предложений
Скачать прайс-лист Золотое сечение на ноябрь 2025 годаАдрес стоматологии на карте
Узнайте, как доехать до стоматологии Золотое сечение на карте УфыДостоинства и недостатки из отзывов
- Уютная атмосфера и современный интерьер.
 - Отличные результаты лечения.
 - Подробные консультации и честность в рекомендациях.
 - Бесплатные напитки (кофе, чай, смузи).
 - Хороший подход к детям.
 - Приветливый и веселый персонал.
 - Профессионализм врачей (Зульфия Ильшатовна, Юлия Игоревна, Айсина Ильшатовна, Шарафутдинова Г.Х.).
 - Внимательное и доброжелательное отношение к пациентам.
 - Комфортные условия на приемах.
 - Качественное и комфортное лечение.
 

Очень понравлась данная клиника. Ставили там брекеты. Приветливый персонал. Всем советую
Прошел лечение в клинике Золотое сечение, у врача Гарданова Айсина Ильшатовна. Все понравилось! Лечение прошло успешно
Проходила лечение в данной клинике у специалиста Анисимовой Юлии. Устранили скученность зубов нижней челюсти. Результат оправдал все ожидания. Выражаю благодарность всем специалистам данной клиники.
Лечу искривление прикуса у врача ортодонта Шарафутдиновой Гузель Хакимовны ,мне она очень понравилась что хорошо объясняет план лечения,лечит , и очень профессионально подходит к своему делу ,дело втором что у меня были не только кривые зубы но и проблема была в исправлении прикуса ,уже два года прошло меня не узнать ,зубы ровные а прикус правильный ,все благодаря врачу Шарафутдиновой Гузель Хакимовне
Отличная клиника и отличные специалисты. Проходила лечение у Шарафутдиновой Г.Х. Профессиональный и внимательный подход. Очень довольна результатом. Рекомендую.
Проходила ортодонтическое лечение в данной клинике 2,5 года. Могу отметить профессионализм, результат работы, приятная клиника, хорошие администраторы, врачи и ассистенты.
Данная клиника нам очень понравилась.Если вы хотите профессиональных врачей,то вам точно сюда.У моего сына был неправильный прикус,из -за которого он сильно стеснялся,но физиологически он травмировал небо,были постоянные заеду,было не удобно жевать.На сегодняшний день мы имеем голливудскую улыбку и уверенного парня.Все это благодаря врачам Шарафутдиновой Г.Х. и Анисимовой Ю.И.Они врачи с большой буквы В.Желаю процветани клинике и крепкого здоровья врачам.
Данную клинику посоветовали знакомые. Замечательная клиника. Качественное обслуживание, приветливый персонал, профессиональный подход и отношение к делу, современный интерьер, приятная атмосфера. После посещения каждый раз остается только хорошее впечатление. Юлие Игоревне отдельное спасибо за профессионализм, заботливость, внимательность и честность, без лишних услуг. Рада, что сделала правильный выбор. Желаю всей команде, с кем мы познакомились, чтобы ваша работа измерялась количеством счастливых глаз, благодарных улыбок, возвращенным здоровьем пациентов!
Хочу выразить огромную благодарность клинике Золотое сечение и ортодонту Анисимовой Юлии Игоревне за профессионализм и отличный результат, которого мы добились. В процессе лечения всегда очень подробно отвечала на мои вопросы, была заинтересована в результате так же, как и я. Весь процесс лечения прошёл очень комфортно! Сама клиника надёжная. Отличный сервис, грамотные специалисты, уютная атмосфера и доброжелательное отношение! После лечения остались хорошие впечатления.
Проводил в данной клинике лечение зубов, устанавливали брекет систему. Очень порадовало отношение докторов, а именно лечащему врачу Хусаеновой З.И. Всем рекомендую, до этой клинике много где был, здесь оптимальное соотношение цены и качества.
Пришел «Золотое сечение» по рекомендации, почти 2 года проходил лечение брекет системой. Результатом очень доволен, превзошли все ожидания. Начал лечение у Шарафутдиновой Гузель Хакимовны закончил у Хусаеновой Зульфии Ильшатовны, благодарен им за красивую улыбку и идеальный прикус, профессионалы своего дела, компетентные, вежливые, внимательные. Всем рекомендую, приходите, с первых минут на консультации уже поймете, что именно тут Вы будете проходить лечение. Одни плюсы — современные подходы к лечению, вежливый и понимающий персонал, комфортные, уютные, чистые помещения, возможность оплаты в рассрочку. Теперь всем своим знакомым рекомендую именно «Золото сечение».
Отличная и очень уютная клиника. Можете смело доверять, здесь работают профессионалы своего дела. Большое спасибо своим лечащим врачам Гузель Хакимовне и Алине Рустемовне, а также выражаю благодарность всему персоналу.
В 2021 году обратилась в клинику Золотое сечение с проблемой кривых зубов. Мое лечение проводила Зульфия Ильшатовна, она полностью меня проконсультировала и спросила, что я хочу изменить в улыбке . Весь процесс лечения брекет-системы проходил хорошо, без проблем. Если ты голодна, на входе предлагают кофе, чай, смузи☺️. Весь персонал очень веселый и всегда поднимет тебе настроение . И вот скоро я уже снимаю свои брекеты и жду не дождусь своего нового преображения✨.
Проходил лечение на брекет-системе у Хусаеновой Зульфии Ильшатовны. Она настоящий профессионал и просто обожает свою работу. Спасибо Вам, за аккуратное и трепетное отношение, всегда приветливое и отличное настроение. Всегда с большим удовольствием приезжал на плановые приёмы. Нравится доброжелательное и уважительное отношение персонала клиники, очень комфортные условия. Всё на высшем уровне.
Проходила лечение на брекет-системе у Юлии Игоревны, это лучший ортодонт! Всегда интересуется состоянием, отвечает на все возникающие вопросы. Все приемы проходили в очень-очень комфортной обстановке благодря чуткости Юлии Игоревны и ассисентов. Также в процессе лечения несколько раз делала профессиональную гигиену зубов, у разных врачей, и всеми осталась довольна. Еще один плюс стоматологии — очень классный сервис! Всегда встречают приветливые администраторы и угощают вкусным смузи или кофе.
Обратились в клинику Золотое сечение за консультацией по установлению брекетов для дочери. Остались довольны. Будем лечится у вас.
Прохожу лечение по брекетам у Зульфии Ильшатовны. Очень приятный, компетентный специалист. Также хотелось бы отметить администратора Алину благодарностью за ее работу ))
Отличная клина Золотое сечение, профессионалы своего дела, лечение прошло на отлично у ортодонта Зульфии И. Хусаеновой, очень рады
Юлия Игоревна, профессионал своего дела! Объяснила на 5+, понял даже ребёнок 👍
Была на приёме у хирурга Рыбаков Е. В. На удаление зуба, все прошло отлично, без боли, быстро и без суеты. Очень осталось довольна.
Хорошая клиника. Дочка была на лечение, установка брекет- систем, результатом довольны! Хороший доктор Анисимова Юлия, и весь персонал. На ресепшене предлагают напитки!Отношение к клиентам хорошее.
Хороший сервис, чисто и удобно, вежливый администратор. Стоматолог Анна Андреевна честно рассказала о состоянии зубов и предложила рациональное лечение. Приду еще
Хорошая и приятная клиника!.Профессионально подобран персонал.,очень вежливые и приветливые администраторы.Был на приеме у Зульфии Ильшатовны Х,сделала фото,провела осмотр Зубов,все подробно рассказала,очень приятный врач.В самой стоматологи приятно находиться!.
Отличная клиника, начиная от врача и заканчивая общей обстановкой в клинике, все на высшем уровне. Компетентные врачи и мед персонал, вежливый администратор. Рекомендую.
Отличная клиника! Доброжелательный персонал, удобная система оплаты и записи. Врач всё подробно объясняет, учитывает пожелания. Чистки делают очень дотошно и тщательно, это огромный плюсы, там же можно купить всё расходники типа монопучков, эластиков, воска и т.д. Огромное спасибо моему Лечащему ортодонту — Анисимовой Юлии Игоревне — прекрасному врачу с золотыми руками. Благодаря ей лечение прошло достаточно легко и без эксцессов. В общем, лечение здесь своих денег стоит однозначно.
В клинику ‘Золотое сечение’ я обратилась 2,5 года назад, уже очень давно я мечтала исправить свою улыбку. Я очень довольна результатом ортодонтического лечения. Хочу выразить искреннюю благодарность всему коллективу клиники. А главное замечательному, чуткому профессионалу своего дела Хусаеновой Зульфие Ильшатовне. На протяжении всего периода лечения я ощущала комфорт, заботу и поддержку. Весь коллектив клиники внимательный и вежливый для них главное что бы пациенту было хорошо и комфортно.
Приводила сына на прием к Зульфие Ильшатовне. Я осталась довольна и в полном восторге от приема. Очень вежливая, доброжелательная, спокойная. Имеет подход к детям. Всем советую данную клинику ❤️