Стоматология Стоматологический центр ортодонтии Престиж, Симферополь
Информация о стоматологии Стоматологический центр ортодонтии Престиж актуализирована в октябре 2025 года:
Стоматологический центр ортодонтии Престиж
- Замена лигатур 500₽
- Размещения небного шва 14000₽
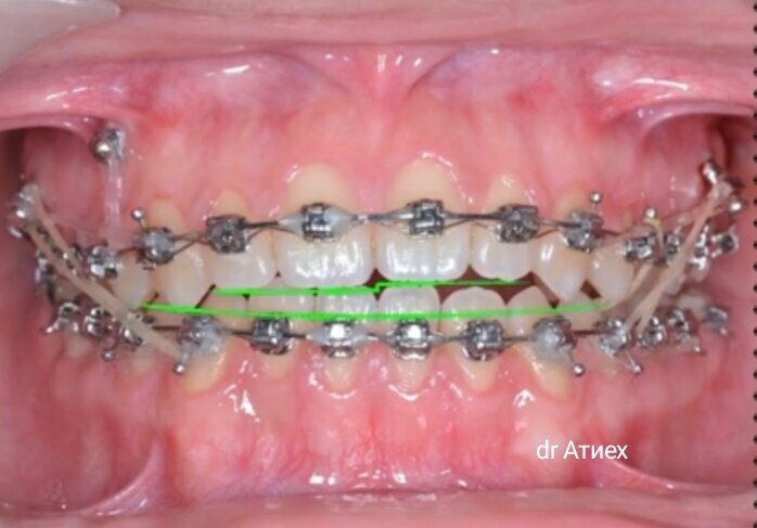
- Самолигирующей керамический брекет 70000₽
- Коррекция прикуса с использованием сапфировой брекет-системы 40000₽
- Снятие брекетов, полировка 3000₽
- Все цены (18)
- Доступные цены (дешевле, чем в других клиниках).; Внимательное и доброжелательное отношение к пациентам.; Отсутствие очередей.; Высокий профессионализм врачей.; Исправление сложных случаев (неправильный прикус, кривые зубы).
- Все плюсы и минусы из отзывов
- Петропавловская улица, 12
-
Закрыто до 09:00откроется через 4 ч 24 мин
Основные направления работы центра включают ортодонтию, эстетическую стоматологию, протезирование, отбеливание, установку брекетов, гигиену полости рта и реставрацию зубов. Здесь работают квалифицированные специалисты, включая стоматологов и стоматологов-ортодонтов, которые используют современные технологии и материалы для безболезненного и эффективного лечения.
Центр оснащен всем необходимым для комфорта пациентов: доступностью помещения для людей с инвалидностью, лифтом, парковкой, в том числе для маломобильных граждан, туалетом для людей с ограниченными возможностями. Также доступны бесплатный Wi-Fi и оплата картой.
Режим работы: с понедельника по пятницу — с 09:00 до 18:00, в субботу и воскресенье — с 10:00 до 18:00. Записаться на прием можно по телефону +7 (978) 738-07-97 или на сайте http://ortodontdent.ru/. В центре регулярно проводятся акции, а на все услуги предоставляется гарантия.
Стоматологический центр ортодонтии Престиж заботится о здоровье и комфорте своих пациентов, предлагая качественное лечение и индивидуальный подход.
Контактная информация как добраться?
- Полный адрес: Республика Крым, Симферополь, Петропавловская улица, 12
- Район: Киевский район
- Все телефоны компании: +7 (978) 738-07-97
- Whatsapp: https://wa.me/79789143613
- Viber: https://viber.click/79789143613
- Сайт: http://ortodontdent.ru/
Режим работы сегодня
Дополнительные услуги
- Услуги
- эстетическая стоматология
- ортодонтия
- протезирование
- отбеливание
- брекеты
- гигиена полости рта
- реставрация зубов
- Парковка для людей с инвалидностью
- Туалет для людей с инвалидностью
- Оплата картой
- Парковка
- Акции
- акции
- стоматолог
- стоматолог-ортодонт
- Гарантия
- Wi-Fi
- Доступность помещения на инвалидной коляске
Услуги и цены – 18 предложений
Скачать прайс-лист Стоматологический центр ортодонтии Престиж на октябрь 2025 годаАдрес стоматологии на карте
Узнайте, как доехать до стоматологии Стоматологический центр ортодонтии Престиж на карте СимферополяДостоинства и недостатки из отзывов
- Внимательное и доброжелательное отношение к пациентам.
- Короткие сроки лечения (быстрое исправление проблем).
- Возможность исправления ошибок предыдущих врачей.
- Хорошее оборудование.
- Доверие пациентов и положительные эмоции от лечения.
- Чистота и аккуратность в клинике.
- Быстрые и эффективные результаты лечения.
- Доктор дает подробные рекомендации и учитывает пожелания пациента.
- Высокий профессионализм врачей.
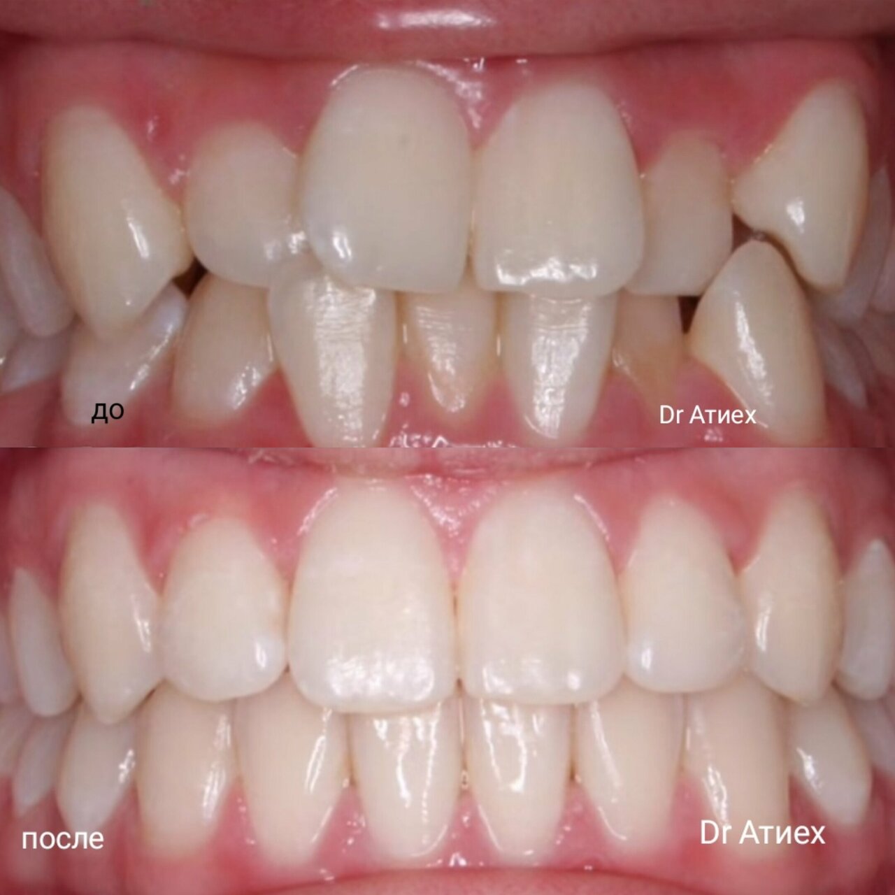
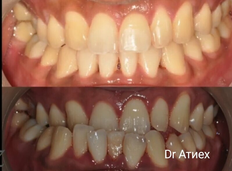
- Исправление сложных случаев (неправильный прикус, кривые зубы).
- Отсутствие очередей.
- Доступные цены (дешевле, чем в других клиниках).
- По серьезным вопросам лучше обращаться к проверенным специалистам.
- Необходимость уточнять условия обслуживания по полису

Я ездил по всему Крыму и искал хорошего ортодонта и нашёл его, у меня был неправильный привкус и теперь всё благодаря ему, выровняли Доктор от Бога, всем советую!
Делюсь впечатлениями. За полгода выровнялись почти все зубы. После первой консультации поняла, что останусь здесь. Современная клиника, врач приглянулся сразу, цены устроили. Всем советую посетить эту клинику.
Хочу оставить свой положительный отзыв. Я очень рада ,что пришли именно в эту клинику. Прекрасное отношение к своей работе и к пациенту. Моей дочери год и два месяца назад установили брекеты,результат не заставил долго ждать с каждым месяцем мы видели как меняется в лучшую сторону у нее прикус,зубки становились ровнее. И сейчас когда прошло время год и два месяца у нее реально голливудская улыбка. Конечно ещё лечение не закончилось,доктор сказал ещё два месяца ходить с внутренней скобой. В течении всего этого периода дочь сама ходила на прием к ортодонту,он менял ей резинки,дугу,делал необходимые манипуляции,чистку и т.д. Благодаря вашей клинике моя дочь реагирует без страха на такого врача как стоматолог. Мы с мужем тоже лечим здесь свои зубы,убираем зубной камень,и результатом всегда довольны. Рекомендую от всей души.
Практически никогда нет очереди. Чисто. аккуратно. Но по серьезным делам, лучше идти к проверенным, своим стоматологам, дантистам. насчет обслуживания по полису, уточняйте
Хочется выразить огромную благодарность этому замечтельному доктору. Он смог исправить аж две проблемы: неправильный прикус и маленькую челюсть, за приятную цену. Благодаря ему я теперь спокойно могу улыбаться и не могу прям народаваться своим новым красивым зубкам. Доктор очень добрый, найдет к каждому свой подход.Всем советую!
Прекрасное место! До этой клиники два года по врачам ходили, результата не было. Но как только пришли сюда дело сдвинулось с мертвой точки. Врач сразу понял в чем дело и назначил лечение. Результат : зубы ровные, все на своем месте! Однозначно рекомендую!
Сегодня прекрасный чудесный день: мне сняли брекеты, я очень рада. Хочу поблагодарить доктора Атиех Осама за его профессиональный подход и поддержку. Большое вам спасибо за мою прекрасную теперь улыбку
Доктор самый лучший, я ношу брекеты чуть больше года, подружки так же по моему совету обратились к этому врачу и так же довольны!
Прекрасная клиника, сняли брекиты, всем довольна, большое спасибо!!!
Хороший стоматолог, делал здесь пломбы, все понравилось. Цены в раза два меньше чем у нас в евпатории , даже с учетом затрат на дорогу приезжаю сюда. Внимательные врачи, хорошее оборудование. Советую всем.
Прекрасный специалист. Результаты лучшие слова благодарности. Обращайтесь.
Сегодня сняла брекеты,очень довольна,все в наилучшем качестве,специалист высокого уровня.Лечение проводил Атиех Осама,всегда дает рекомендации,стараюсь слушаться.Все отлично!
Огромное спасибо доктору за проделанную работу, благодаря ему вылечил зубы исправил перекус советую всем обращаться в этот стоматологический центр !!!
Отличная клиника. У меня было аж несколько тяжелых диагнозов, неправильный прикус, много проблем с зубами. Думали, что нужно будет делать операцию. Благо, обошлось без нее, и лечение вышло куда проще и дешевле, чем нам обещали другие врачи. Благодаря здешнему стоматологу я теперь совсем не стесняюсь улыбаться)) Доктор очень отзывчивый и внимательный, прямо не верится, как сильно изменились мои зубы. Большое спасибо)
Я очень рада,что обратилась в эту стоматологию, искала соотношение цены и качества и нашла, даже в государственной цена была выше и мы остановились на ‘Ортодонтии’ и не прогадали, доктор очень вежливый , пунктуальный и профессионально все сделал, за полтора года зубы у дочки стали идеально ровными, посоветовала доктора своей сестре так же
Рада что не ошиблась при выборе ортодонта. Доктор профессионал своего дела. Переделывал работу предыдущего ортодонта. Даже не ожидала результат по исправлению прикуса. Наклон передних зубов, моя улыбка очень радуют. Моя сестра по моему примеру поставила брекеты здесь же и тоже довольна.
Прекрасная клиника, я хожу уже несколько лет, и обязательно буду еще приходить. У меня был неровный прикус который исправили за короткое время с помощью брекетов. Доктор невероятный Профессионал своего дела так как всегда поинтересуется о самочувствии, ответит на все вопросы, и выслушает все предпочтения. По надобности даст советы и указания, и к тому же позаботится о своем пациенте. Я и мои зубы остались очень довольны, так как результат вышел потрясающим! Рекомендую!
Рекомендую всем доктора-ортодонта Осаму из клиники Престиж. Исправляли прикус, каждая поездка к врачу-в удовольствие, без капли страха и сомнения , потому что работает профессионал. Полностью доверилась врачу и не пожалела. Хожу счастливая с красивыми ровными зубками. Мечта исполнена, спасибо
Лучший доктор,который принял меня после некомпетентной клиники,которая испортила мне зубы! Исправил все,работал с моей сложной ситуацией 4 года! И сделал мне идеальную улыбку,я благодарна ему от всего сердца,спасибо! Огромное спасибо!!
Самая прекрасная клиника , которую я встречала . Врач просто профессионал своего дела, все поможет , расскажет и объяснит. Ставила брекеты, за такое короткое время все исправили .